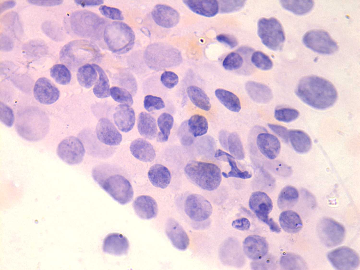
Chronic lymphocytic thyroiditis - Case 49. (cytologic picture 5)
|
|
|
|
Pap-smear, 1000x. Lymphocytes and follicular cells in a multilayered cell group. Follicular cells present atypia, but neither grooves nor inclusions nor prominent nucleoli are present.

