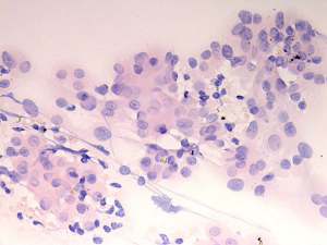
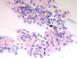
Chronic lymphocytic thyroiditis - Case 49. |
|
Clinical presentation: a 49-year-old woman with a newly discovered hypothyroidism (TSH 31.7 mIU/L) and a thyroid nodule in a previous sonographic report.
Ultrasonography: typical picture of Hashimoto's thyroiditis without any nodules.
Cytological report: benign Hashimoto's thyroiditis.










