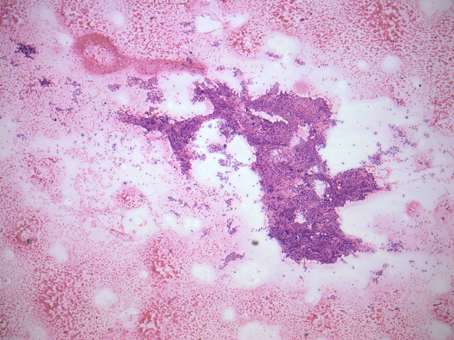
Follicular adenoma - Case 9. (cytologic picture 1)
Follow-up investigation - 9 years after the first investigation
|
|
|
|
|
Pap-smear, 40x. There is no colloid in the background. A large cluster of follicular cells.

