Menu
Case histories
Lectures
Lymphocytic thyroiditis
List of cases
Videorecords
Pitfalls
Course book
Course on US
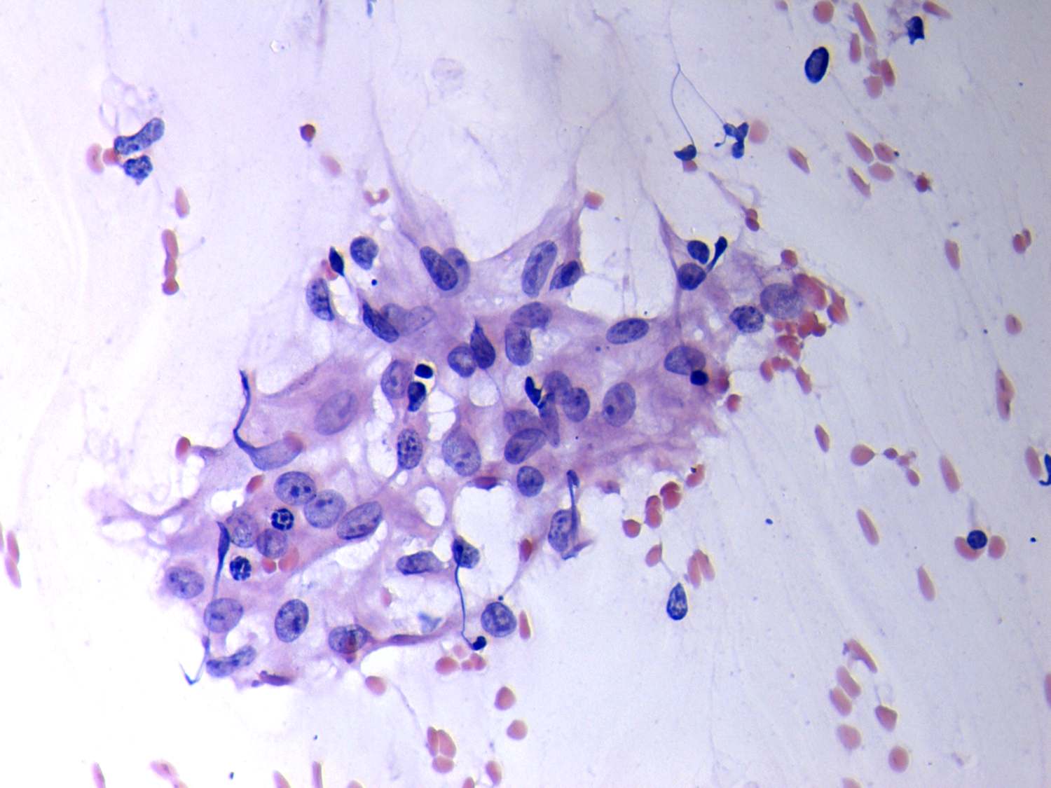
Chronic lymphocytic thyroiditis - Case 73.
Follow-up examination 2 years later
(cytologic picture 3)
Pap-smear, 400x. Follicular cells mixed with fibrocytes.