Menu
Case histories
Lectures
Lymphocytic thyroiditis
List of cases
Videorecords
Pitfalls
Course book
Course on US
Chronic lymphocytic thyroiditis - Case 73.
Follow-up examination 2 years later
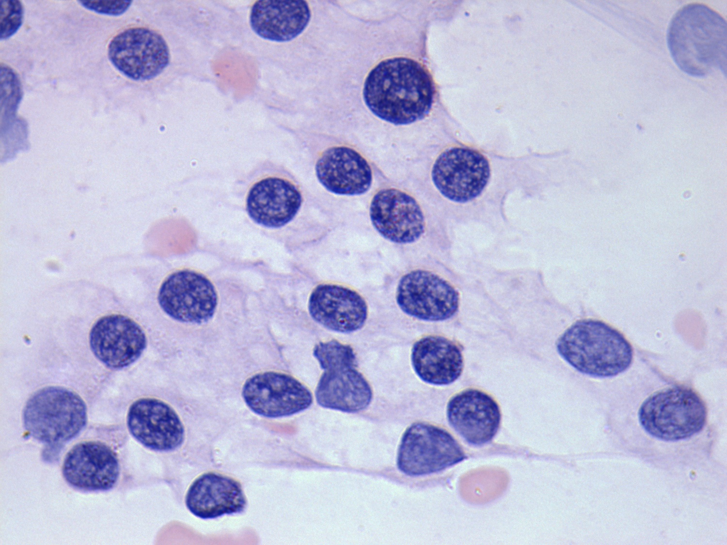
(cytologic picture 6)
Pap-smear, 1000x. Note vacuolization and granular chromatin structure.