Menu
Case histories
Lectures
Graves' disease
List of cases
Videorecords
Pitfalls
Course book
Course on US
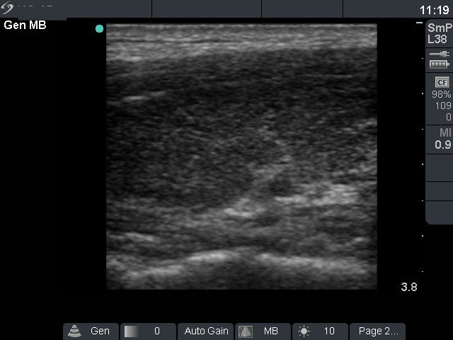
Graves' disease - Case 27.
Four months after the first visit (ultrasonographic picture 5)
Left lobe, longitudinal view. The thyroid is hypoechogenic.