Menu
Case histories
Lectures
De Quervain's thyroiditis
List of cases
Videorecords
Pitfalls
Course book
Course on US
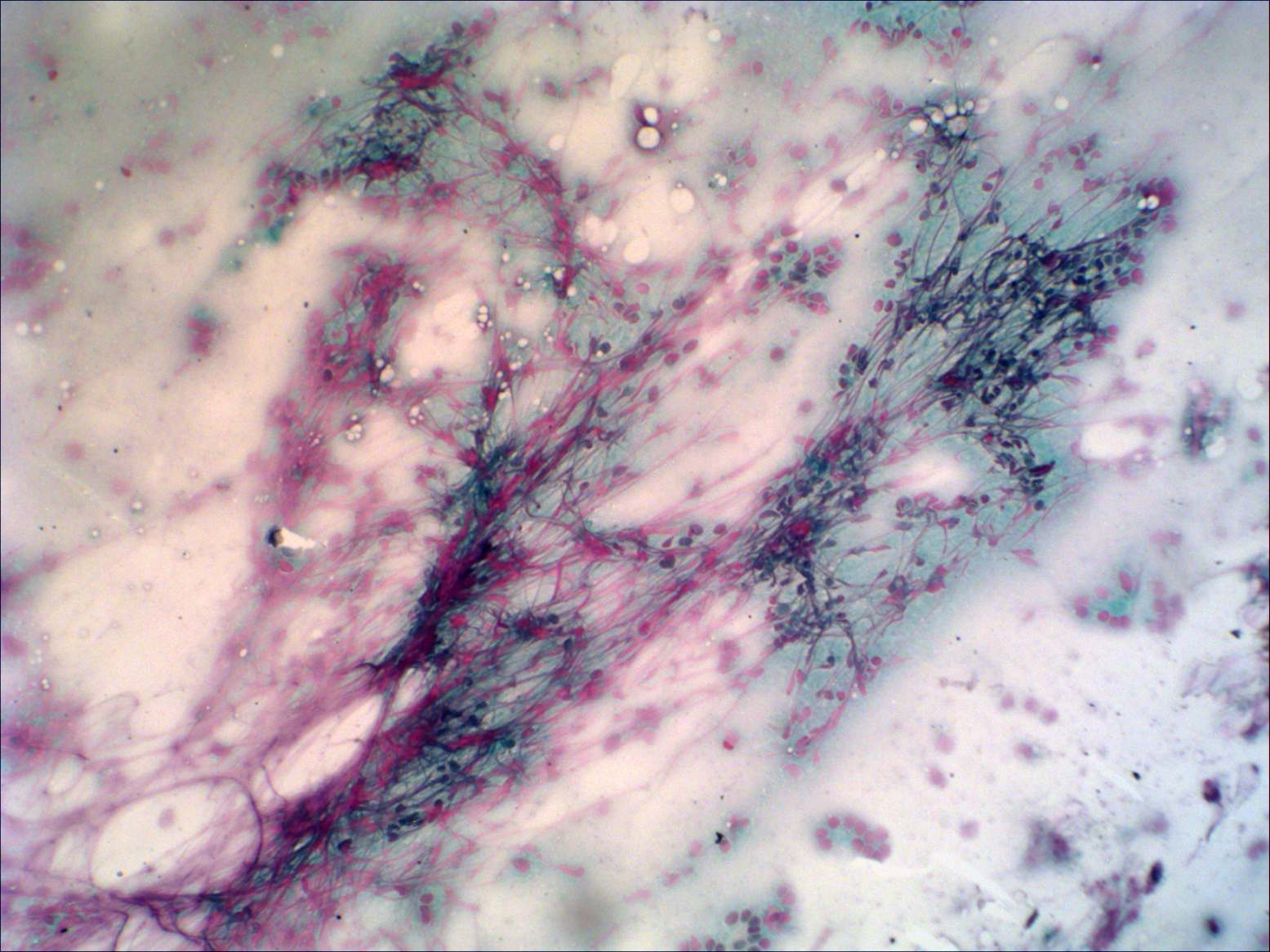
Subacute granulomatous de Quervain's thyroiditis - Case 24. (cytologic picture 2)
Pap-smear, 100x. Nuclear debris and inflammatory cells are in this image.