Follicular adenoma - Case 30. (cytologic picture 7)
|
|
|
|
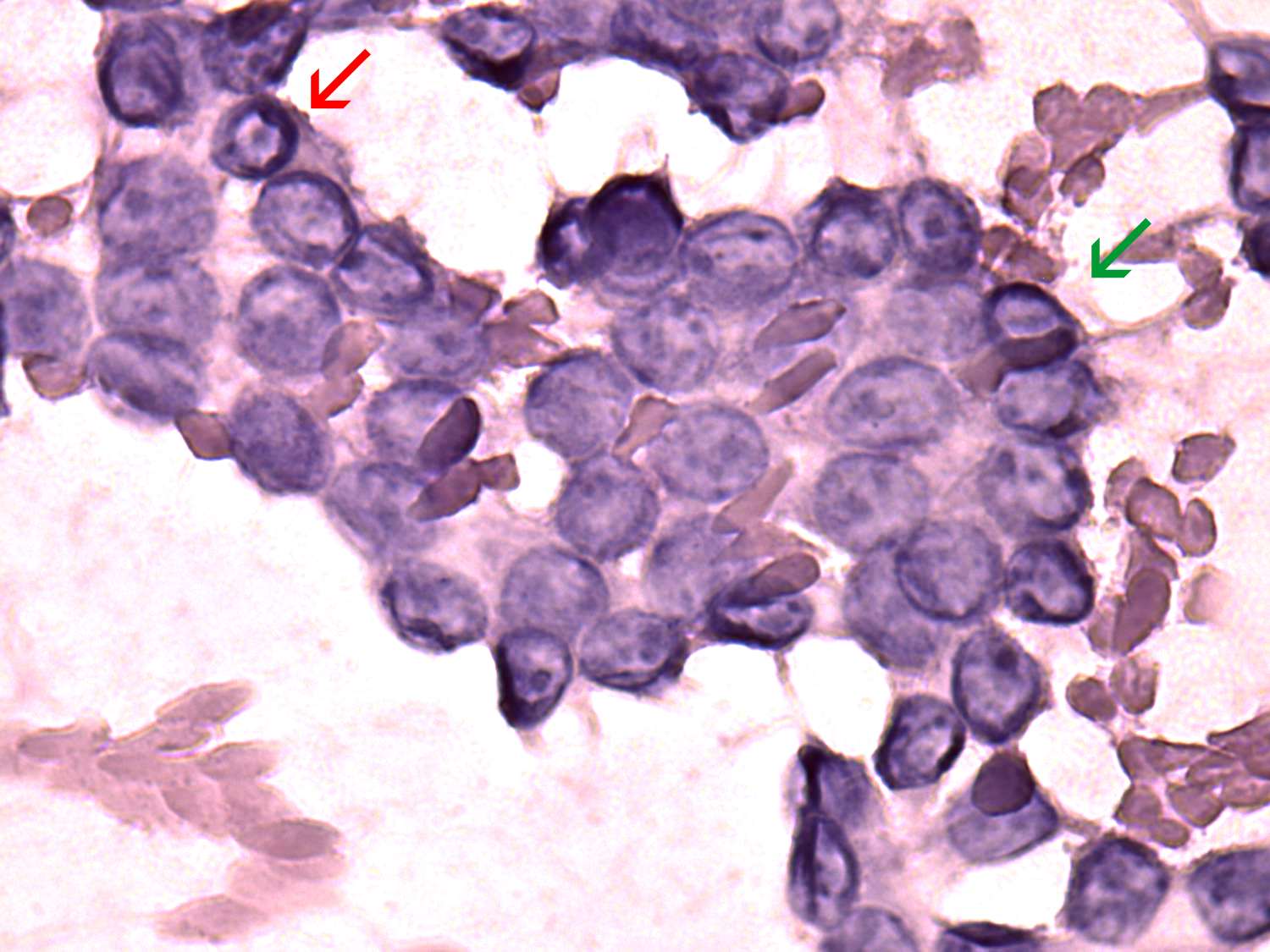
Pap-smear, 1000x. The chromatin is condensed to the periphery of cells. Two cells with an intranuclear hole, neither of these fit an inclusion. In the first nuclei marked with a red arrow there is a nucleolus within the hole. This theoreticelly excludes the possibility that this would be a pathognomic inclusion which is created by invagination of the nuclear membrane.
In the other nucleus marked with a green arrow the shape of the hole is not regularly round.

