Other edifying cases - Case 18: Oxyphilic tumor in ectopic thyroid tissue |
|
Clinical presentation: a 47-year-old woman was referred for evaluation of a hypothyroidism. She was investigated by a "biomagnetic healer" who told her that she may have either a thyroid carcinoma or a hyperthyroidism. The general practitioner performed blood test.
Functional state: subclinical hypothyroidism with TSH 6.77 mIU/L, FT4 13.4 pM/L.
Palpation: a firm nodule in the right thyroid.
Ultrasonography: the thyroids were moderately hypoechogenic. There was an echonormal, inhomogeneous mass next to the upper pole of the right lobe. Muscle fibers were found between the thyroid and the hyperechogenic lesion. The latter displayed type 2 vascular pattern.
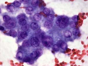
Cytology was performed from the lesion above the thyroid and resulted in oxyphilic tumor.
Surgery was performed. The right lobe and the ectopic thyroid tissue were removed.
Histopathology disclosed oxyphilic adenoma in the ectopic thyroid and chronic lymphocytic thyroiditis in the right thyroid lobe.















