Parathyroid lesions - Case 2.
A patient with a multinodular goiter (cytologic picture 1)
|
|
|
|
|
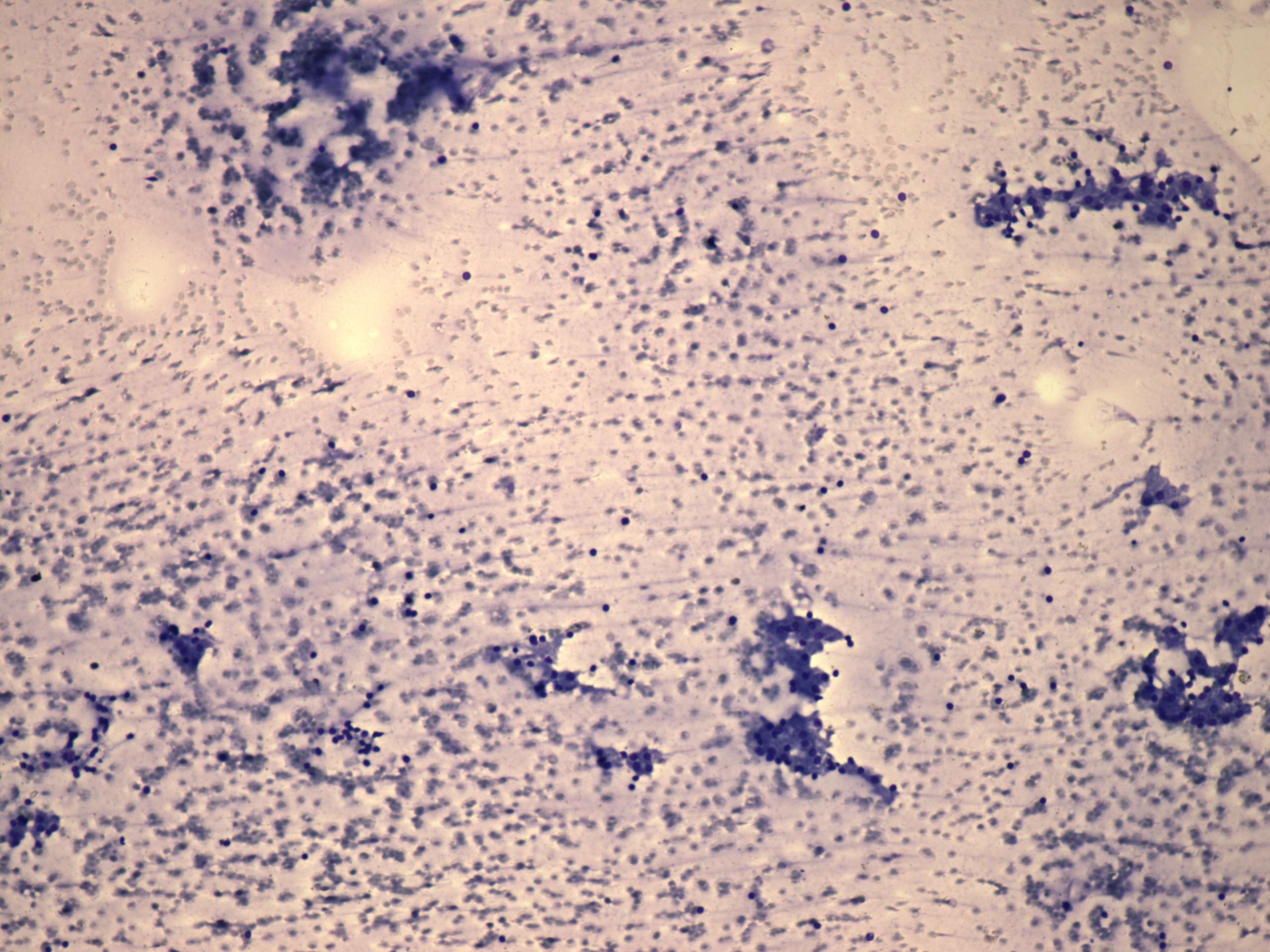
Wright-Giemsa staining, 100x. There is no colloid in the background. Epithelial cells are in loose clusters.

