Menu
Case histories
Lectures
Parathyroid lesions
List of cases
Videorecords
Pitfalls
Course book
Course on US
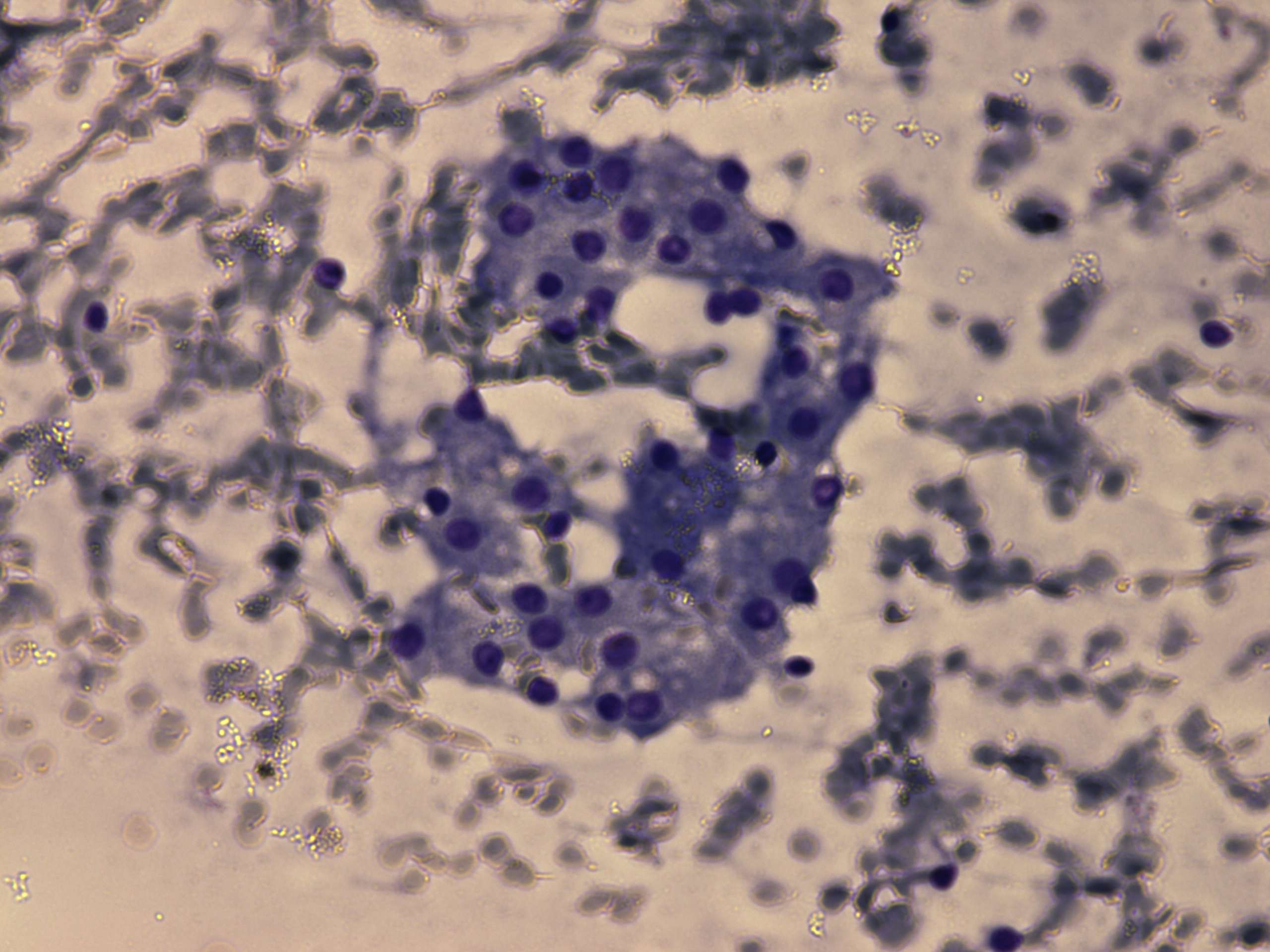
Parathyroid lesions - Case 2.
A patient with a multinodular goiter (cytologic picture 5)
Wright-Giemsa staining, 400x. A monomorphous population is presented.