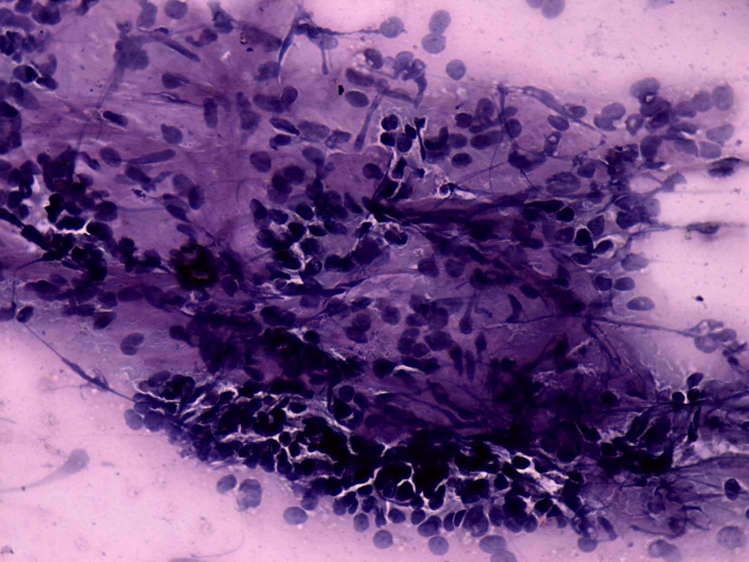
Subacute granulomatous de Quervain's thyroiditis - Case 36. (cytologic picture 6)
|
|
|
|
Pap-smear, 400x. Cluster of multinucleated giant cells composed of epitheloid cells and follicular cells.

