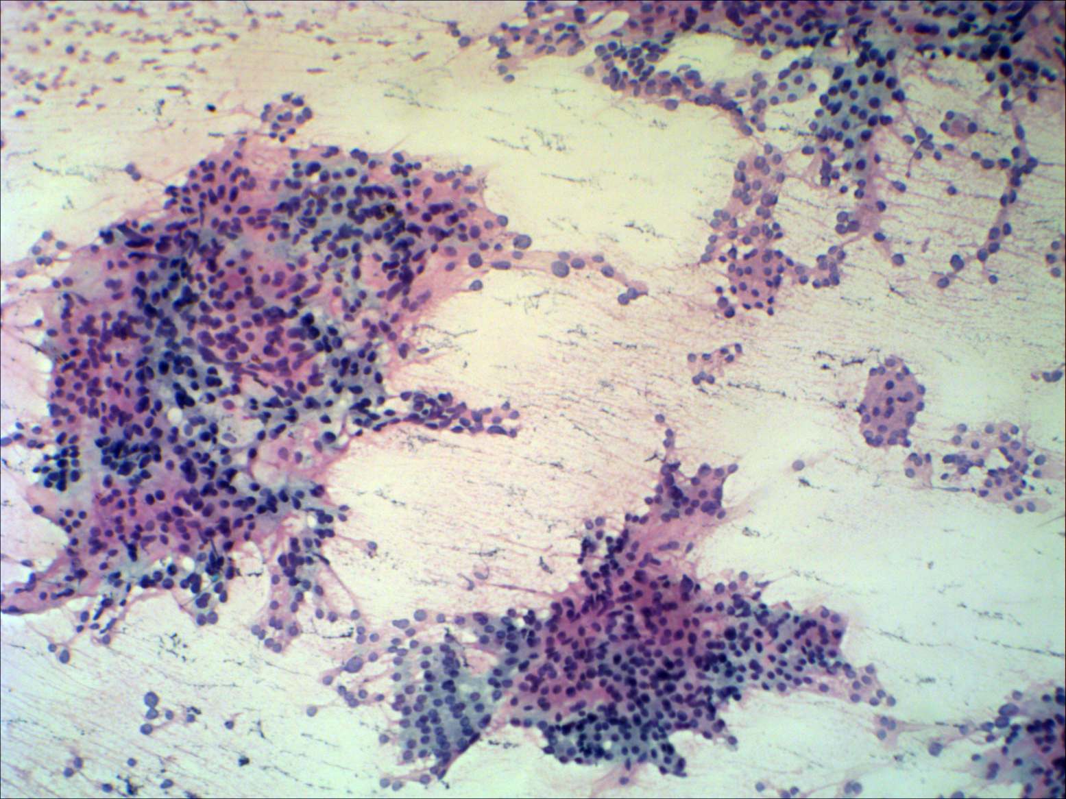
Pap-smear, 100x. The cytological picture corresponds to a mixed micro-, normofollicular growth pattern.