Menu
Case histories
Lectures
Lymphocytic thyroiditis
List of cases
Videorecords
Pitfalls
Course book
Course on US
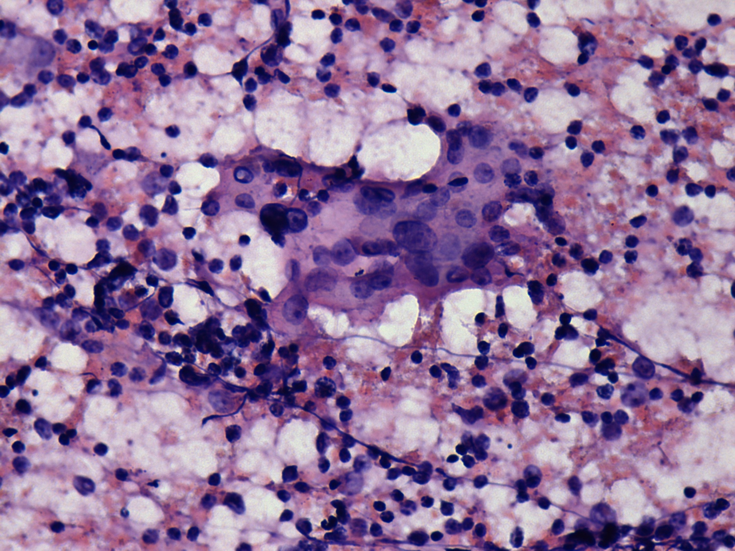
Chronic lymphocytic thyroiditis - Case 50. (cytologic picture 5)
Pap-smear, 400x. Oxyphilic cells present anisonucleosis.