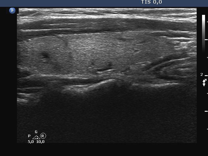
Thyroid cancers - case 727 (ultrasonographic picture 8)


Previous picture Back to Case Next picture


Left lobe, longitudinal scan. None of the discrete lesions shares clinical or oncological importance.

mask