Thyroid cancers - case 1571 (cytological picture 2 of another smear)


Previous picture Back to Case Maximize Next picture

Right lobe, longitudinal scan

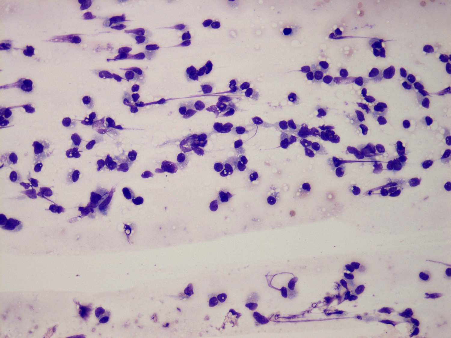
Wright-Giemsa staining, 200x.  Thyrocytes occur isolated and in loose, non-specific cell groups.

mask