Thyroid cancers - case 1571 |
|
First examination in 1991 (first and second row of images):
Clinical presentation: A 58-year-old woman was referred for an evaluation of a newly discovered nodule.
Palpation: a firm nodule in the left lobe.
Functional state: euthyroidism with TSH-level 2.25 mIU/L.
Scintigraphy indicated a cold nodule in the left lobe. Ultrasonography was not performed.
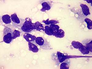
Cytological diagnosis: Hürthle-cell tumor.
The patient refused to undergo on surgery.
Second examination in 1995 (third and fourth row of images):
Clinical presentation: The patient said that her nodule increased in size in the last 6 months. She noticed hoarseness for a month and had palsy of the left recurrent nerve.
Palpation: a hard nodule in the left lobe.
Functional state: euthyroidism with TSH-level 1.93 mIU/L.
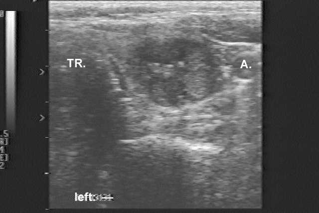
Ultrasonography. There was a hypoechogenic nodule in the left lobe with patchy hyperechogenic areas and microcalcifications.
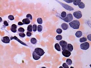
Cytological diagnosis: suspicion of malignancy. Beside a Hürthle-cell tumor, medullary carcinoma has to be considered.
Blood test for calcitonin : serum-level of calcitonin was 6.10 pM/L (normal value: 0-3.36).
Histopathology: medullary cancer.
Comment. This was our first case of medullary cancer. Naturally, our first cytological diagnosis was false. We had to raise the possibility of a medullary carcinoma even at the first examination. The sonographic pictures are out of date, nevertheless the pathognomonic pattern of medullary carcinoma is well seen on these old images, as well.

















