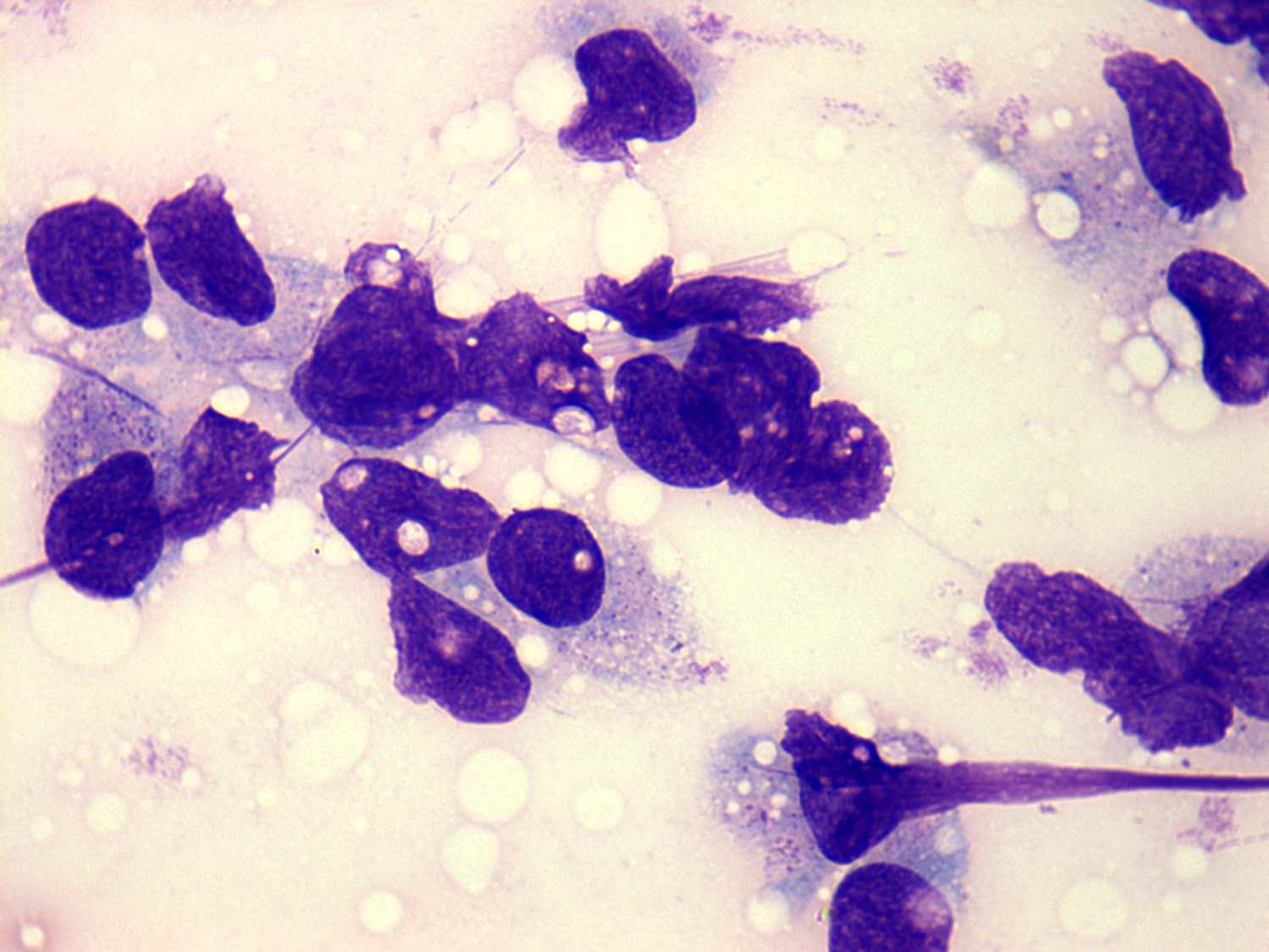
Thyroid cancers - case 1571 (cytological picture 5 of another smear)
| |
|
|
|
Wright-Giemsa staining, 1000x. Atypical, pleomorphic tumor cells are shown. Note azurophilic cytoplasmic granulations.

