Thyroid cancers - case 1571
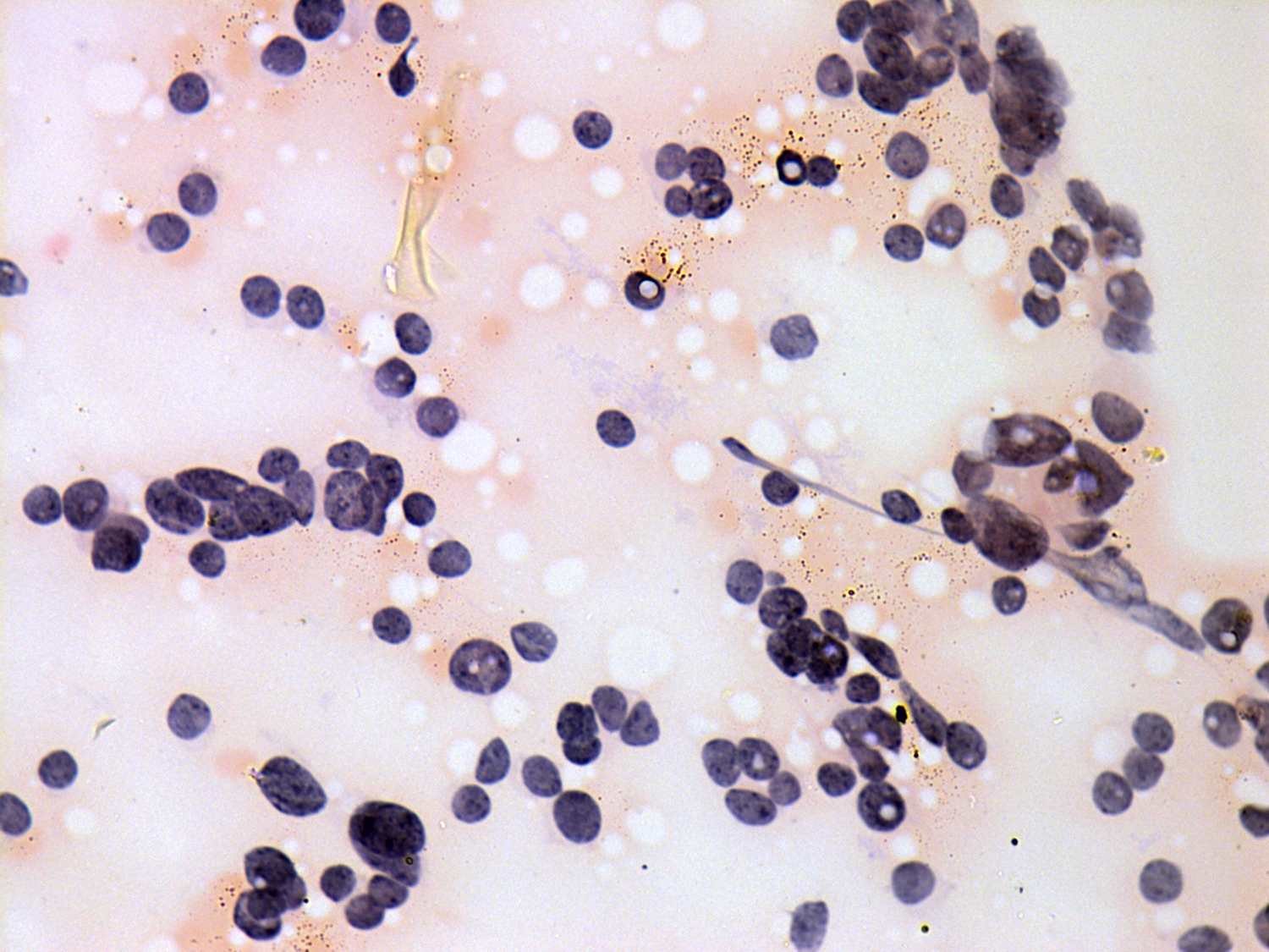
Second examination 4 years later (cytologic picture 3)
| |
|
|
|
Pap-smear, 400x. The tumor cells are relatively small. The arrangement of the cells resembles that seen in a small-cell lung cancer. The cytoplasm of the cells is hard to identify with this staining.

