Menu
Home
2 Nodular goiter
3 Non-nodular thyroid
4 Non-thyroid neck
5 US-interventions
6 Advanced courses
Thyroid cancers
Cases
Supplement
Thyroid cancers - case 1571
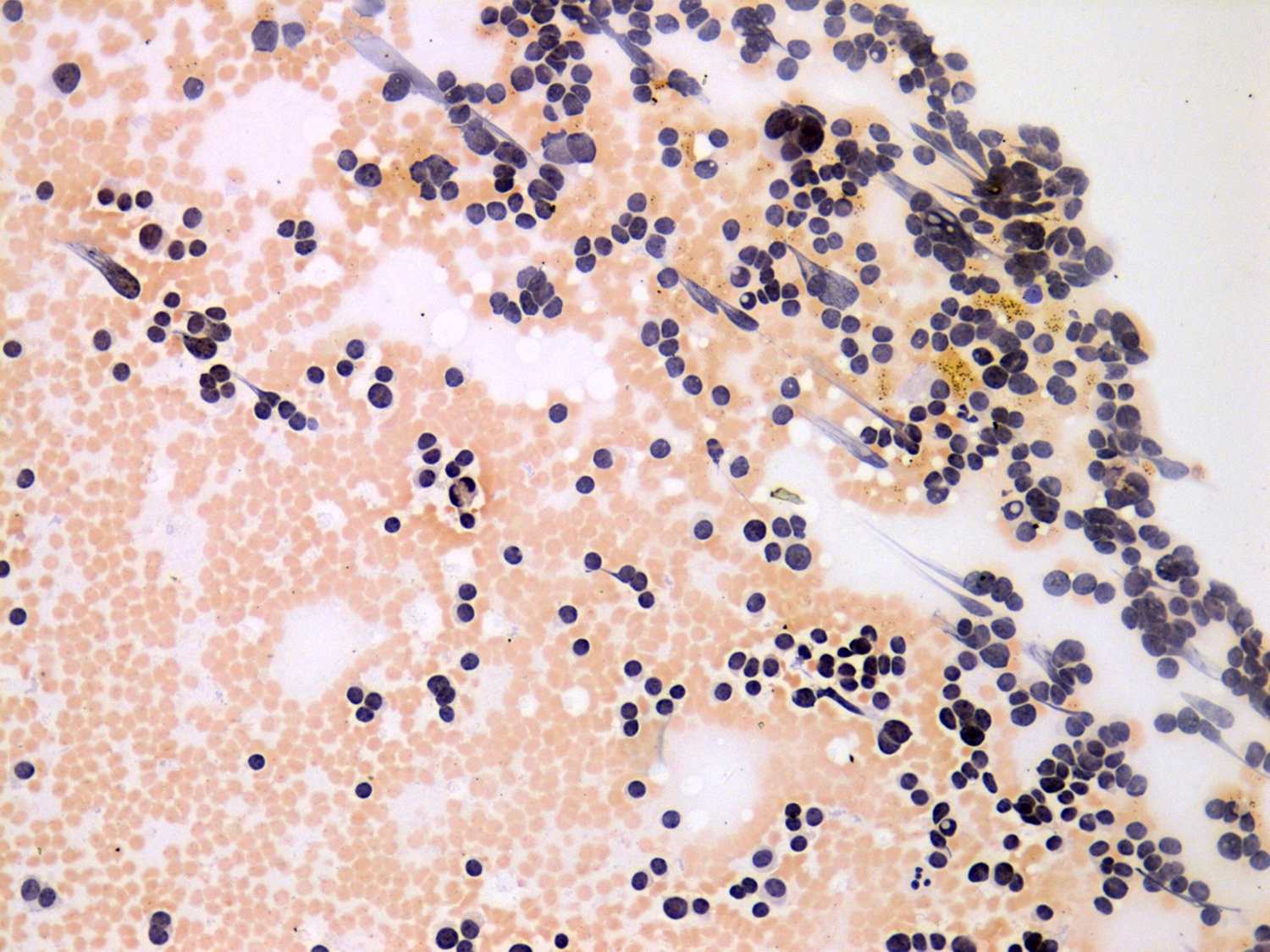
Second examination 4 years later (cytologic picture 2)
Pap-smear, 200x. Several enlarged atypical cells are found.