Prev

Thyroid cancers - case 1694

Nodular goiter

Next

Clinical presentation: A 62-year old man came to a follow-up examination. He was examined a year ago when he discovered a nodule himself. Aspiration cytology was not diagnostic. He had no complaints.

Palpation: a firm nodule in the left lobe.

Functional state: euthyroidism with TSH 1.60 mIU/L.

Ultrasonography. The thyroid was echonormal. There was a hypoechogenic, inhomogeneous nodule with irregular margins in the left lobe. The vascularization was not specific.

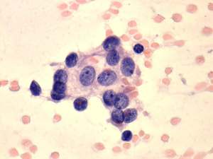
Cytology resulted in follicular tumor with greater than the average risk of malignancy.

Histopathology: minimally invasive follicular cancer.

 

 

 

 

 

 

 

 

 

 

 

 

 

 

 

 

mask