Thyroid cancers - case 670 |
|
Clinical presentation: A 39-year-old woman was referred for evaluation of an autonomously functioning nodule known for years. The patient was euthyroid and did not get any medication for thyroid disease. She noticed a rapid growth in the size of the nodule in the previous several months.
Palpation: There was a very firm nodule in the isthmus.
Functional state: euthyroidism with TSH 0.86 mIU/L.
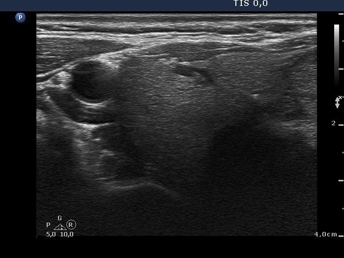
Ultrasonography. The thyroid was echonormal and presented several discrete hypoechogenic lesions. There was a large moderately hypoechogenic nodule in the isthmus. The nodule did not display halo but did perinodular blood flow.
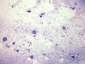
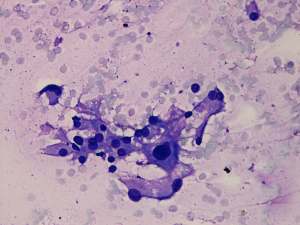
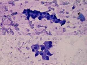
Aspiration cytology resulted in oxyphilic follicular tumor.
Histopathology disclosed minimally invasive follicular carcinoma with multiple angioinvasive foci.
Comment. Cytology was performed due to the rapid growth noticed by the patient.










