Thyroid cancers - case 262 |
|
Clinical presentation: A 73-year-old man with a nodule discovered incidentally by carotid Doppler examination.
Palpation: A relatively firm nodule was palpable in the left lobe.
Functional state: euthyroidism (TSH-level 2.81 mIU/L).
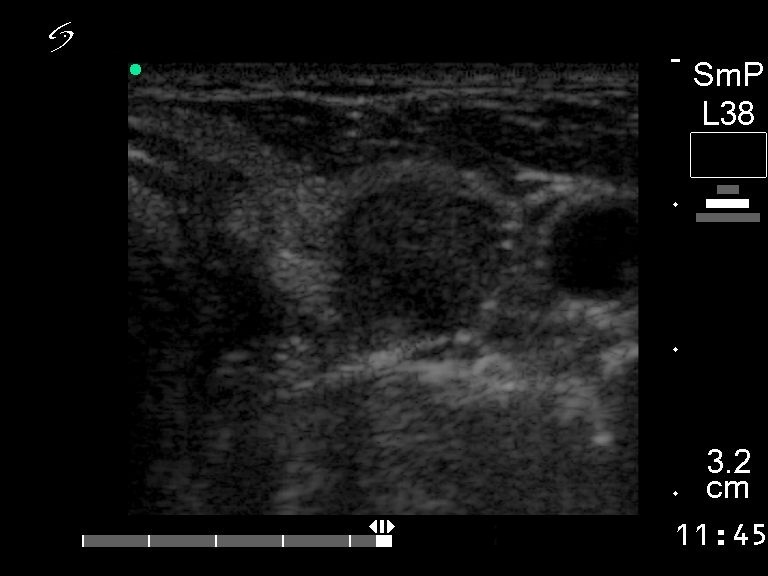
Ultrasonography. There was a solitary hypoechogenic nodule in the left lobe.
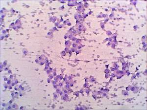
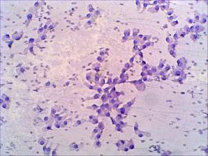
Cytology resulted in Hürthle-cell tumor.
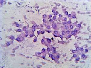
Histopathology disclosed Hürthle-cell variant of follicular cancer.







