Prev

Course book

Graves' disease

Next

Clinical presentation and ultrasonography

Most considerations made in the section about lymphocytic thyroiditis are valuable in the case of Graves' disease. The difference between the two autoimmune diseases is mainly not in the US presentation but the practical-clinical presentation. Nowadays, the diagnosis of LT is made by chance. Great proportion of the patients has no special complaints, but was investigated simply on screening or because of the suspicion of a nodular goiter. It means that the physician is not aware of clinical data, hormonal status etc.

The clinical situation greatly differs in a Graves' patient. These patients have complaints and in most cases we are aware of the clinical diagnosis when we perform US. It is worth describing why we prefer US in a patient with an unequivocal Graves' disease at all. Firstly, the size of the thyroid is of prognostic value and it influences whether a definitive or a conservative therapy is the choice. Secondly, the patient may also have a thyroid nodule, and it would be a failure to overlook this coincidence in a patient who has been treated for months or even years.

The performance of US is mandatory in a hyperthyroid patient without TAO. We can immediately determine whether the hyperthyroidism is caused by a nodular or a diffuse thyroid disease. If we diagnose a nodule, scintigraphy is mandatory in order to prove or exclude a toxic nodular goiter. If we do not see a nodule on US, the vascularization of the thyroid may be of diagnostic value. As described earlier, a decreased vascularization practically excludes the possibility of a hormone-producing disorder and this pattern greatly increases the possibility of the so-called hashitoxicosis.

The basic ultrasound property of the acute phase of Graves' disease is the hypoechogenicity. The degree of hypoechogenicity has very limited significance. The vascularization is increased in the early phase.

The correct interpretation of a discrete lesion is also a problem in Graves' disease. As mentioned earlier, the situation is not as difficult as in the case of LT, because in most cases we are aware of the clinical diagnosis. The second favourable circumstance can be explained by the more rapid change in the US pattern. If we have doubt about the origin of a lesion, a repeat ultrasound 3 or 6 months later may resolve the issue. The basic hypoechogenic pattern in most cases moves to a less hypoechogenic one. This relatively rapid modification in the ultrasound is of help to recognize a hypoechogenic nodule missed during the first US examination because of the similarity in the echo pattern of the nodular and non-nodular parts of the thyroid.

The US has prognostic value not only in the initial phase but also later in the course of the disease. If the hypoechogenic pattern and the increased blood flow are not decreased within one year after the therapy, then the recurrence rate is significantly higher. These US properties have similar prognostic value as the TSH-receptor antibody determination.

Cytology

Essentials

In this chapter, we discuss different entities which share a common cytological appearance. These clinical entities are as follows:

  1. Graves-Basedow's disease (current or previous treatment with thyrostatic drugs)
  2. Patients who have received previous I-131 therapy for hyperthyroidism
  3. Patients presenting with serious hypothyroidism

Besides the common cytological picture, there is another common feature of these entities: we can be aware of the previous or present hormonal dysfunction of the thyroid.

Indications for FNAC of goiter with a thyroid dysfunction

1. Hyperthyroid patients without a thyroid nodule The underlying disease is not evident: it could be Graves-Basedow's disease or Hashimoto's thyroiditis. In rare cases, even subacute thyroiditis should be considered.
2. A thyroid nodule is present either in patients with hyperthyroidism or in those previously treated for hyperthyroidism. The prevalence of thyroid carcinoma in the presence of hyperthyroidism is reported to be 0.5% to 21.5% ( Krause 1991 ).

Typical cytological presentation

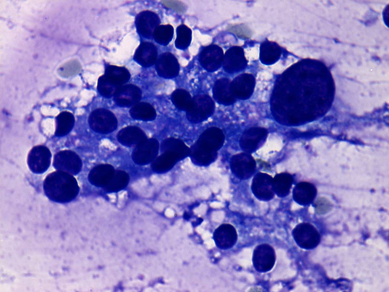
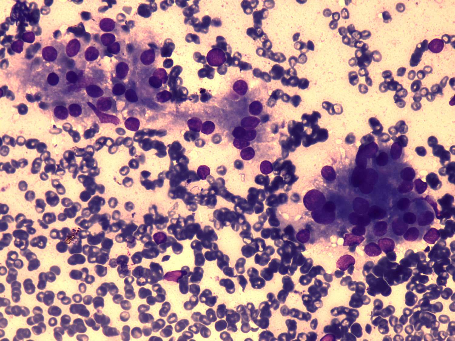
  1. The smears are bloody, and there is no or only minimal colloid in the background.
  2. Marginal vacuolization (the fire flare appearance). 
  3. The cells are round, with marked anisonucleosis.
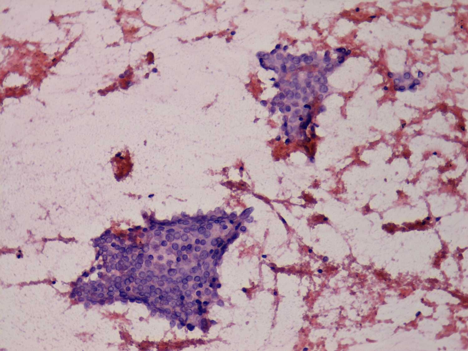
  4. The cells are arranged in loose groups, and a follicular pattern (mostly formed by 6-10 cells) is also present.

None of the above-mentioned signs is pathognomic for Graves-Basedow's disease. The marginal vacuoles represent dilated cisternae of the endoplasmatic reticulum (Jayaram 1989a). This phenomenon occurs even in euthyroid goiters and lymphocytic thyroiditis, and also in carcinomas ( Nilsson 1972, Jayaram 1989a, Pitts 1989 ). Only rarely have we observed colloid in the hyperthyroid state of the disease, whereas others have found scanty, weakly stained colloid in half of their cases Droese 1995). A very characteristic sign is the round shape of the cell. Even highly enlarged cells demonstrate this feature.

Is there a nodule?

Before a discussion problematic cases, one basic problem must be answered. Both before and after the analysis of a cytological pattern that is difficult to interpret, we must be aware of whether the patient has a nodule or not.

The problem lies in the difficulty of the clear-cut diagnosis of a thyroid nodule in Graves-Basedow's disease. If a nodule is palpated and at the site of the nodule there is a discrete echo abnormality, then the presence of the nodule is no longer questionable. In contrast, in cases where no nodule is palpable, or in cases of palpable nodules without discrete echo abnormalities, the presence of a nodule is questionable. The problem lies in the fact that the US pattern of hyperthyroidism itself is hypoechogenic and most thyroid nodules are also hypoechogenic. Moreover, most US patterns outside the nodule in Graves-Basedow's disease change their characteristics over a period of months.

The latter phenomenon may be of help in resolving the problem. The echo structure of the thyroid has begun to normalize in around two-thirds of the patients at 6 months, and in around four-fifths of them at 12 months, and a nodule can be therefore visualized more easily on a second US investigation. If we perform repeated US in most of the cases where there is an initial doubt as to whether to diagnose a nodule or not, a clear-cut resolution can be made. The US follow-up of Graves-Basedow's patients is of great relevance in another case. The detection of a hypoechogenic nodule at the time of diagnosis of Graves-Basedow's disease may be very difficult or even impossible. Both 2 false-negative cases where a nodule larger than 5 mm in diameter was not detected by US occurred in patients with Graves-Basedow's disease. This led us to change our former practice, and in all of our patients with Graves-Basedow's disease we now perform repeated US 6-monthly until the US pattern of the thyroid normalizes in order to detect a nodule with a US pattern identical to that initially presented for the whole thyroid in Graves-Basedow's disease.

Cases that are difficult to interpret

What to see? What to think?
1. A marked follicular proliferation Is it a follicular tumor?
2. The cells are not round Could it be a tumor?
3. The cells form papillary fragments Can we rule out papillary cancer?
4. Nuclear inclusions or grooves are present Is it papillary cancer?
5. There are numerous lymphocytes in the smear Is it lymphocytic thyroiditis?

Differential diagnostics in detail

Follicular proliferation

On the basis of the cytological picture, a follicular tumor cannot be ruled out if a marked follicular proliferation is present. Well-differentiated thyroid tumors may take part in the enhanced hormone production observed in Graves-Basedow's disease. Thus, other cytological signs of hyperthyroidism (vacuolization and anisonucleosis) are of no relevance in the differential diagnostics.

In cases of the nodular form of hyperthyroidism, scintigraphy must be performed except when there is a clear-cut indication for surgery (a large thyroid with compression signs). If scintigraphy reveals a hot nodule in the area in question, the cytological problem is resolved: the patient has a toxic nodule, which in more than 95% of the cases is a follicular adenoma. In this clinical situation, either I-131 therapy or surgical removal of the nodule is the treatment of choice.

On the other hand, if a patient does not have a toxic nodule in the area in question, or the isotope uptake of the nodule is not evaluable, because the nodule lies in the dorsal part of the thyroid, the differential diagnostic problem remains to be resolved. This situation does not differ essentially from that in nodular goiter with a cytological picture of follicular proliferation. The only difference lies not in the cytological differentiation, but in the fact that in patients with a hyperthyroidism and with suspicion of a follicular tumor there are two independent features favouring a surgical procedure as the treatment of choice.

Cellular atypia: nuclear pleomorphism

When we see nuclei with an irregular shape, the possibility of an underlying tumor must be excluded. There is no other disease in the thyroid where the round shape of the cell is so characteristic. In a retrospective analysis, more than 95% of Graves-Basedow's disease cases without tumor were characterized via the round shape (nuclear form factor < 1.15). On the other hand, in more than 70% of cases where this factor was greater than 1.2, a tumor was present. Accordingly, if a significant number of the cells are oval or irregular in shape, other signs of a potential thyroid tumor must be looked for with great thoroughness. If other unusual signs are present, the possibility of a tumor must be considered. In one of our false-negative case, only the oval shape of the cells and the presence of macrophages could be noted on hematoxylin-eosin and Giemsa-stained smears at the first cytological investigation. The original report was benign. 2 years later, when repeated FNAC was performed and we applied the Papanicolau method for staining, nuclear grooves could also be observed and the patient was sent for operation: histopathological examination revealed papillary cancer.

Papillarization

This phenomenon, which is not infrequently seen in histopathological slides, occurs only in rare cases in cytology. The correct interpretation may be very difficult, because analysis of the nuclear details is not simple in hyperthyroidism. First, the nuclei are pale. Moreover, the vacuoles characteristic of Graves-Basedow's disease may overlap the nuclei and in this case it may be impossible to detect the typical intranuclear inclusions observed in papillary cancer. The latter problem stems from the relatively common occurrence of nuclear grooves in Graves-Basedow's disease. In around half of the cases where papillarization is present in a smear from a nodule of a patient with Graves-Basedow's disease, no other feature of papillary cancer may be observed. In the other half of the cases, the patients must be sent for operation.

Nuclear grooves are present in the smear

First, we must rule out the possibility that these grooves are pseudo-grooves. As mentioned above, the nuclei in Graves-Basedow's disease are pale. This is a condition which favours the border of a cell group or the border of an overlapping cell appearing on the light nucleus as a ceased formation. If this possibility can be ruled out, we cannot exclude the possibility of papillary cancer, even when no other feature of papillary cancer is present. We have one more opportunity to avoid a false-positive diagnosis of papillary cancer, which was the only help in two of our cases. We performed a repeated aspiration on another part of the thyroid, and could detect typical grooves in these smears, which practically excluded the possibility of papillary cancer. We mention that, in most cases where nuclear grooves were present in smears from hyperthyroid patients, the signs of underlying lymphocytic thyroiditis could be detected. On the basis of this observation, if we see numerous nuclei with grooves, we look for other signs of lymphocytic thyroiditis.

Numerous lymphocytes in the smear

The distinction between Graves-Basedow's and Hashimoto's disease is not sharp. This is particularly true because they represent two clinical forms of the same entity, autoimmune thyroid disease (AITD). In clinical practice, we can often observe that typical Hashimoto's thyroiditis evolves in a patient with Graves-Basedow's disease years or decades after the hyperthyroid phase. The opposite can also happen, but only infrequently.
On the other hand, from a clinical aspect, the distinction between the two forms of the AITD has therapeutic consequences in hyperthyroid patients. FNAC has a particularly important role in those cases where the serum level of autoantibodies against the TSH receptor is not elevated (10-15% of the cases), or where this investigation is not performed. A cytological picture consistent with Hashimoto's thyroiditis has greater predictive value than one consistent with Graves-Basedow's disease. (Lymphocytic thyroiditis may present in multifocal form, and therefore may be missed by FNAC.) The presence of oxyphilic cells without lymphocytes does not decide the question ( Orell 1997 ). Moreover, a small number of lymphocytes can be detected in most smears of typical Graves-Basedow's disease. The presence of nuclear debris favours the diagnosis of Hashimoto's thyroiditis ( Droese 1987 ). Hence, a clear distinction is not possible in a relatively high number of cases. For our results, see  TABLE

Therapy-related changes in patients previously treated for hyperthyroidism

Thyrostatic drugs aggravate the cellular atypia characteristic of hyperthyroidism. Single, highly-enlarged, hyperchromatic, but round cells relatively often occur in the smear.    We have only exceptionally observed change in the form of well-preserved thyrocytes. On the other hand, it must be borne in mind that the changes caused by a thyrostatic drug can be observed decades after the therapy, irrespective of the actual hormonal state of the patient.

Patients who have received a previous isotope therapy for hyperthyroidism rarely need FNAC. In such cases, we have observed pronounced degenerative changes. Beside enlargement of the cell, polymorphism can also be seen (Granter 1997). However, most of these highly polymorphic cells are degenerated. In these cases, awareness of the previous radioactive iodine treatment is particularly important for the cytopathologist to avoid overdiagnosis of the cytological picture (Centeno 1996, Granter 1997).

mask