Differential diagnostics of follicular lesions - table 13
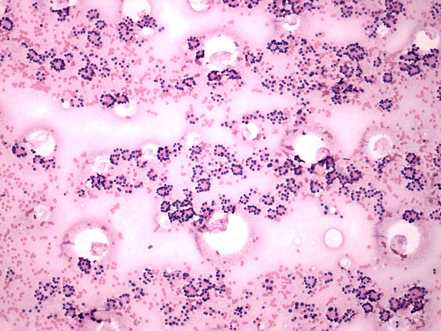
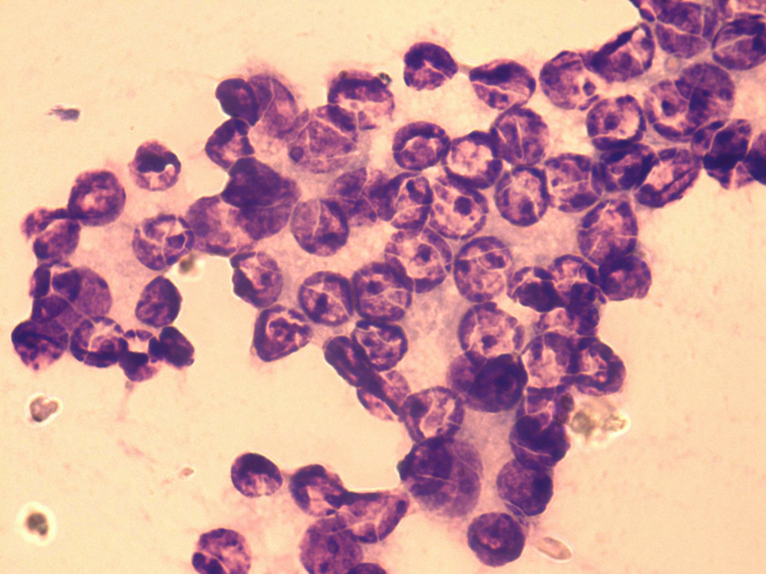
Benign hyperplastic nodule - case 44
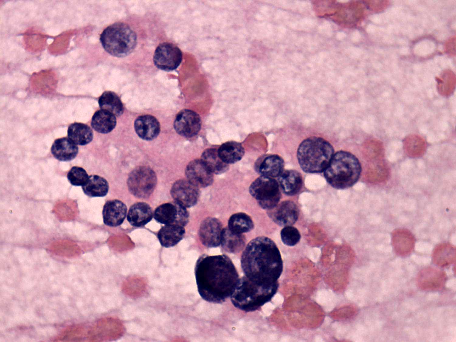
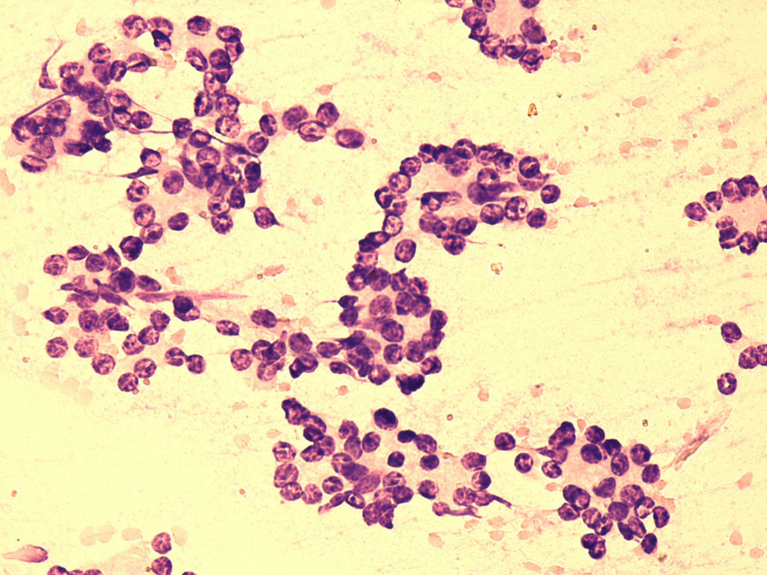
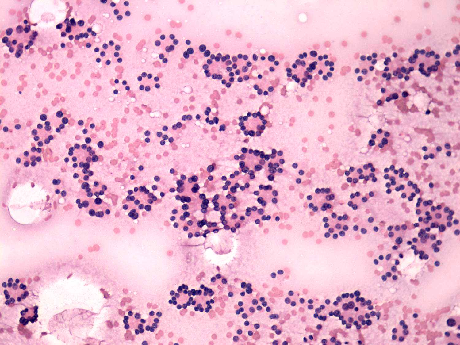
Follicular carcinoma - case 3

Both cases present a microfollicular proliferation. There were several atypical cells in the right case which increased the likelihood of malignant variant of follicular carcinoma.
The right case is even more edifying. Such pattern, i.e. no. colloid in the background, the arrangement of cells almost exclusively in micro- and normofollicles, the monomorphous pattern, the presence of prominent nucleoli, had to be a follicular tumor. However, the nodule proved to be not a follicular tumor but a hyperplastic nodule. This happens in around 10 to 15% of such patterns. If we take the ultrasound presentation into account around half of patients with such cytological presentation can be avoid unnecessary surgery.

The ultrasound presentation of the left case is equivocal. A solitary, not regularly geometrical nodule is presented which did not display halo sign. Although there were signs of a perinodular blood flow, most vessels demonstrated in the image run not within the rim of the lesion but run from the border into the lesion.
The ultrasound appearance of the follicular tumor is almost pathognomic: a large, solitary nodule presents halo sign and perinodular blood flow.

mask