Elastography - case 650 |
|
Clinical data: A 73-year-old woman was referred for evaluation of elevated serum calcium and parathormone levels which were detected on evaluation of repeated bone fractures. The patient was treated with hypothyroidism for more than 30 years.
Palpation: no abnormality.
Laboratory tests: TSH 4.41 mIU//L on daily 112.5 microgram levothyroxine. Serum calcium 2.91 mM/L, phosphorus 0.71 mM/L, parathormone 204 pg/mL (normal value 12-88).
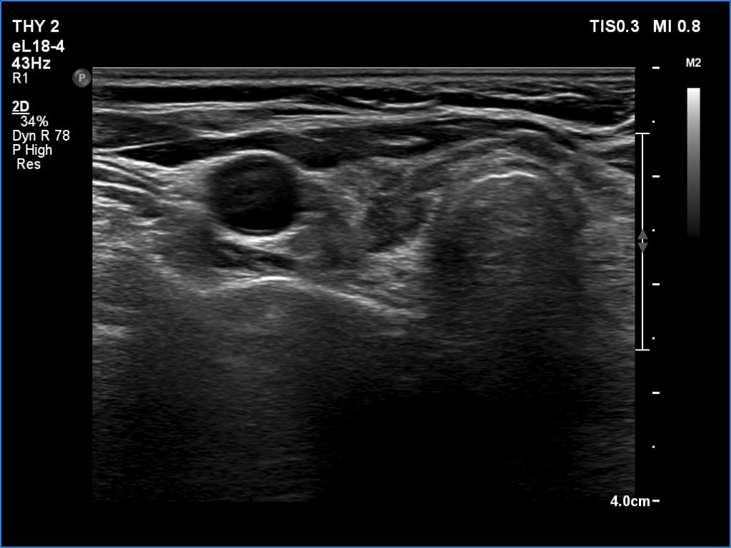
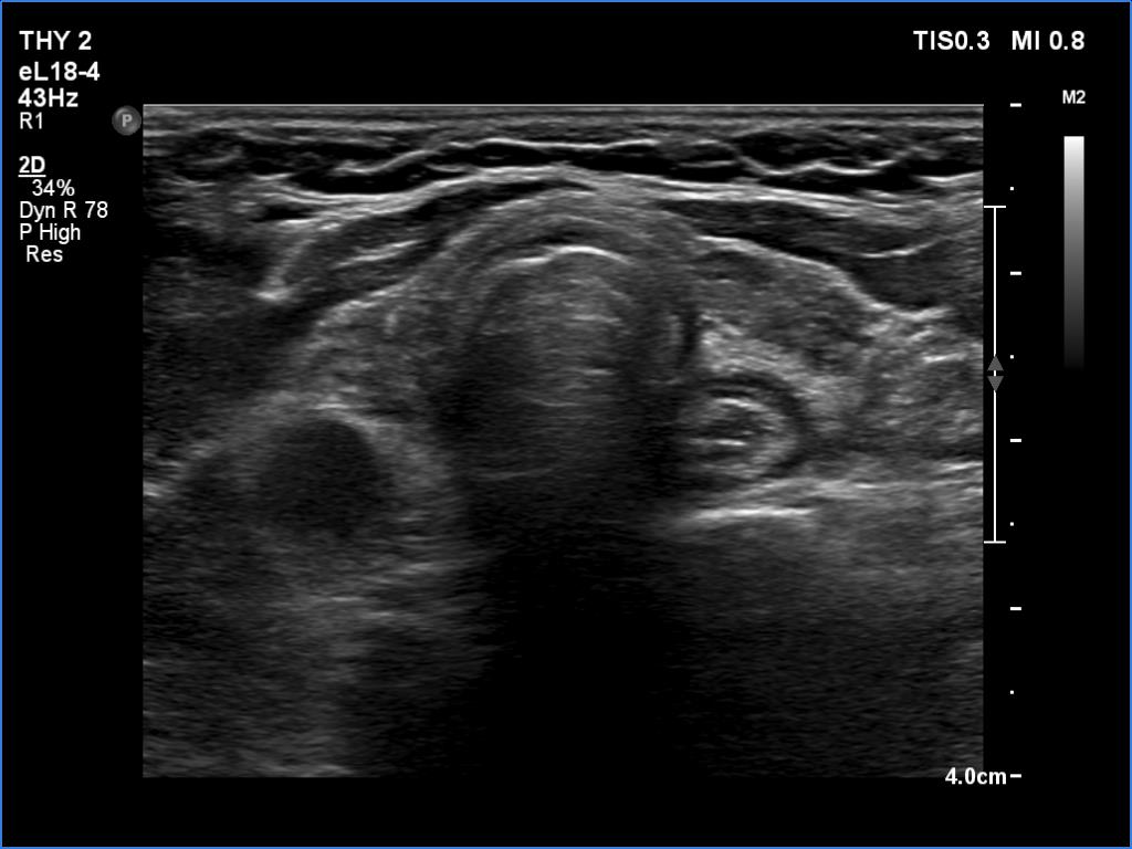
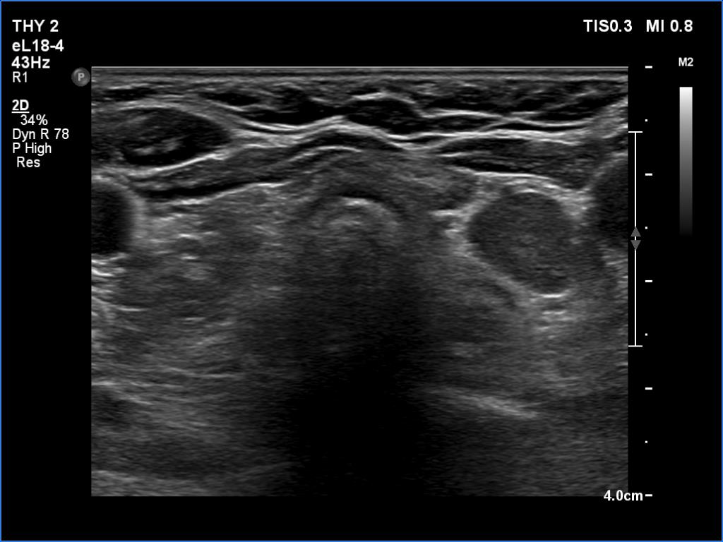
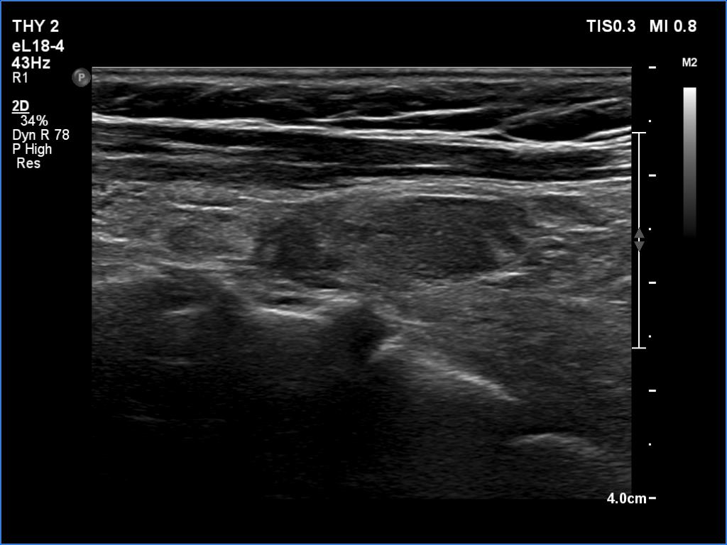
Ultrasonography. The thyroid was atrophic and hypoechoic. There was a hypoechoic mass under the lower pole of the left lobe.
Ultrasound-guided aspiration cytology resulted in benign lesion.
Wash-out parathormone 1101 ng/mL.
Histopathology disclosed parathyroid adenoma.









