Prev

Case 1613

Nodular goiter

Next

Clinical presentation: A 48-year-old woman was referred for evaluation of elevated thyroglobulin levels. She was first operated on and treated with radioiodine therapy for oxyphilic variant of papillary 7 years ago. A recurrent tumor was diagnosed and removed a year ago. This was in the ventral part of the right thyroid bed.

Palpation: no abnormality.

Laboratory tests: TSH 0.48 mIU/l on daily 100 microgram levothyroxine. Thyroglobulin 12 ng/mL, anti-hTg 199 U/mL.

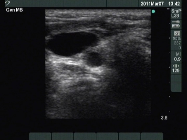
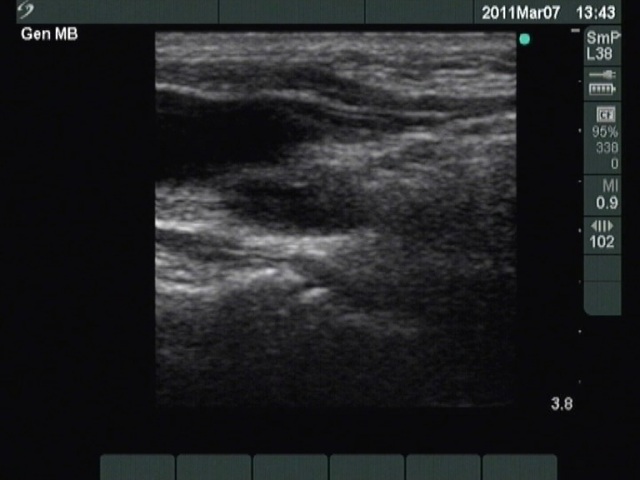
Ultrasound. Except for inconspicuous, moderately hypoechogenic lesion on the ventral wall of the carotid artery, neither thyroid parenchyma in the thyroid beds nor suspicious neck lymph nodes were found. The moderately hypoechoic lesion has bright echogenic granules and was avascular.

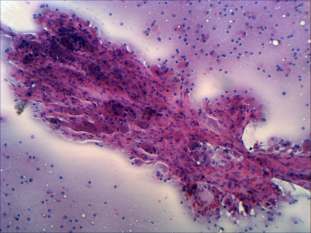
Cytology resulted in Hürthle-cell tumor.

The tumor did not take op radioiodine. Wait-and-see was suggested.

 

 


mask