Case 999 |
|
First examination (first two rows of images)
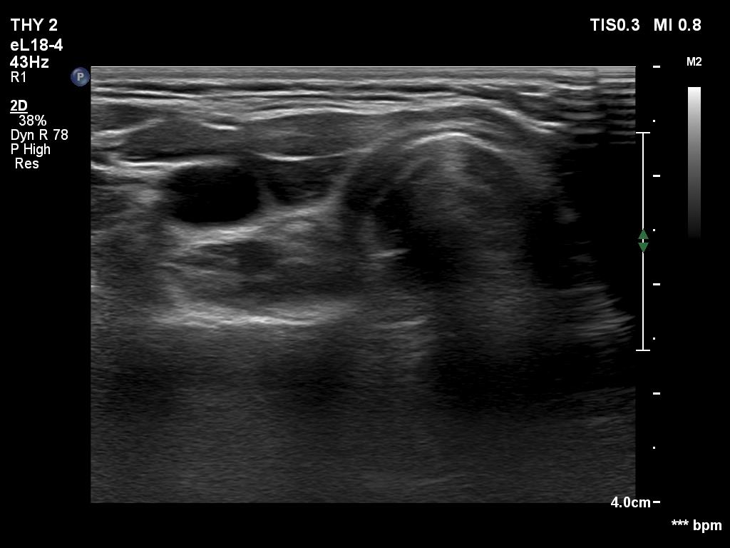
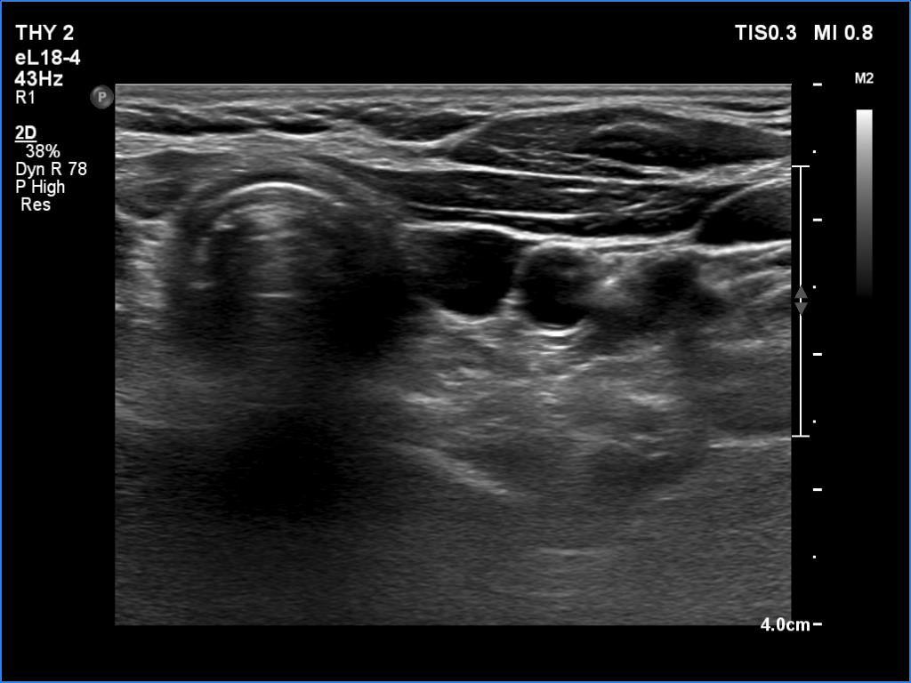
Clinical data: A 19-year-old woman came to a yearly follow-up examination. She has been operated on and has got radioiodine therapy for a T4 papillary cancer for six years. Two years after the surgery, a cystic lesion was found in the left thyroid bed with the diameters of 7x5x12 mm, width, depth and length, respectively. The largest diameter of the lesion ranged between 9 and 13 mm in the upcoming years, the thyroglobulin levels were always below 0.2 ng/mL.
Palpation: no abnormality.
Hormonal investigation TSH-level 0.82 mIU/L on daily 125 microgram levothyroxine, thyroglobulin below 0.2 ng/mL, anti-hTg below 0.9 U/mL.
Ultrasonography revealed a cystic lesion in the left thyroid bed. The dimensions of the cyst were 8x6x13 mm, width, depth and length, respectively.Suggestion: to continue with the daily 125 microgram levothyroxine. TSH in a year, in the event of pregnancy at once.
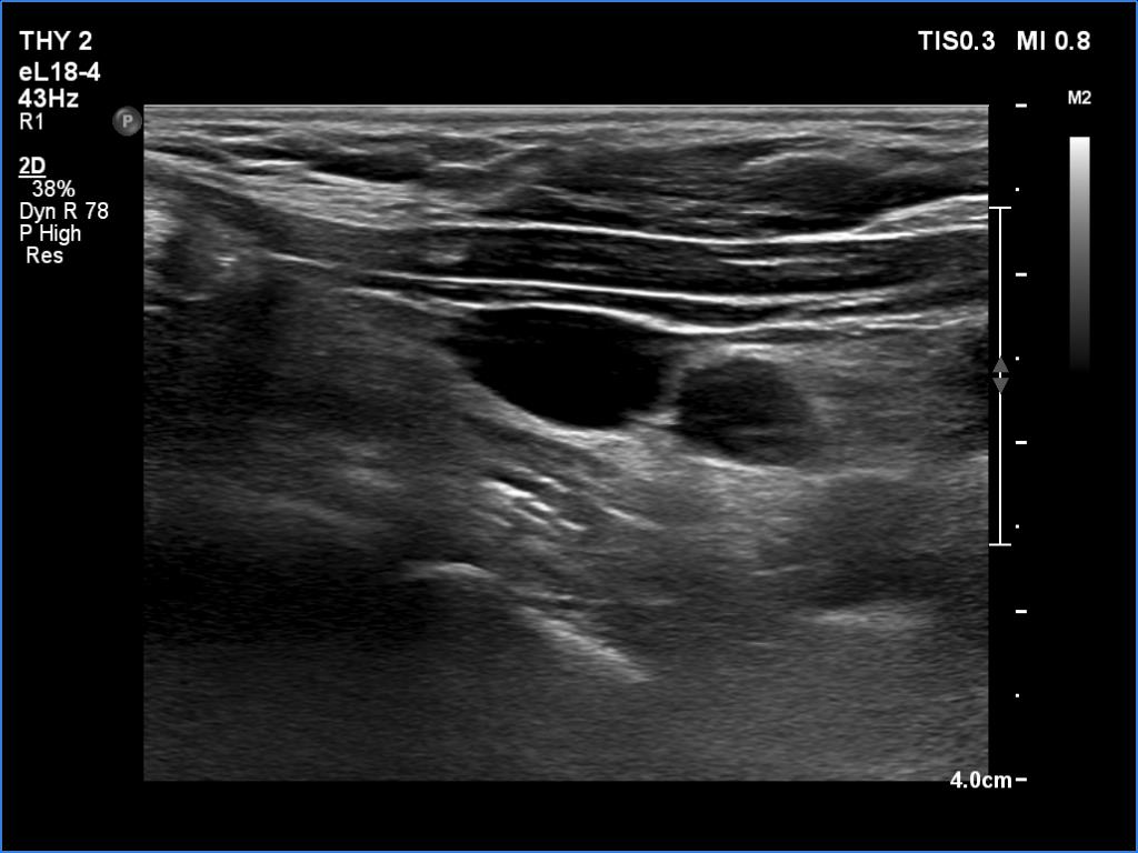
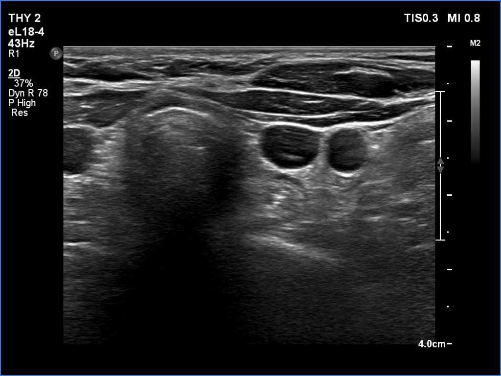
Second examination two years later (third row of images)
Clinical data: The patient had no complaints, she was on the 7th gestational week and came to follow-up.
Palpation: unchanged.
Hormonal investigation TSH-level 4.17 mIU/L, on daily 125 microgram levothyroxine, thyroglobulin below 0.2 ng/mL, anti-hTg below 0.9 U/mL.
Ultrasonography was unchanged. Connective tissue was found in the upper part of the left thyroid bed while there was a cystic lesion in the lower half. On the location, the lesion corresponded to a parathyroid cyst. The dimensions of the cyst were 8x6x13 mm, width, depth and length, respectively.Suggestion: to increase the dose of the levothyroxine to daily 150 micrograms. TSH in 6 weeks.
Comment. On the location of the cystic lesion, this is probably of parathroid origin. Based on the stably undetectable thyroglobulin level, we have no reason to suggest that this would have oncological importance.









