Case cons100_010 (cytologic picture 1)


Previous picture Back to Case Maximize Next picture

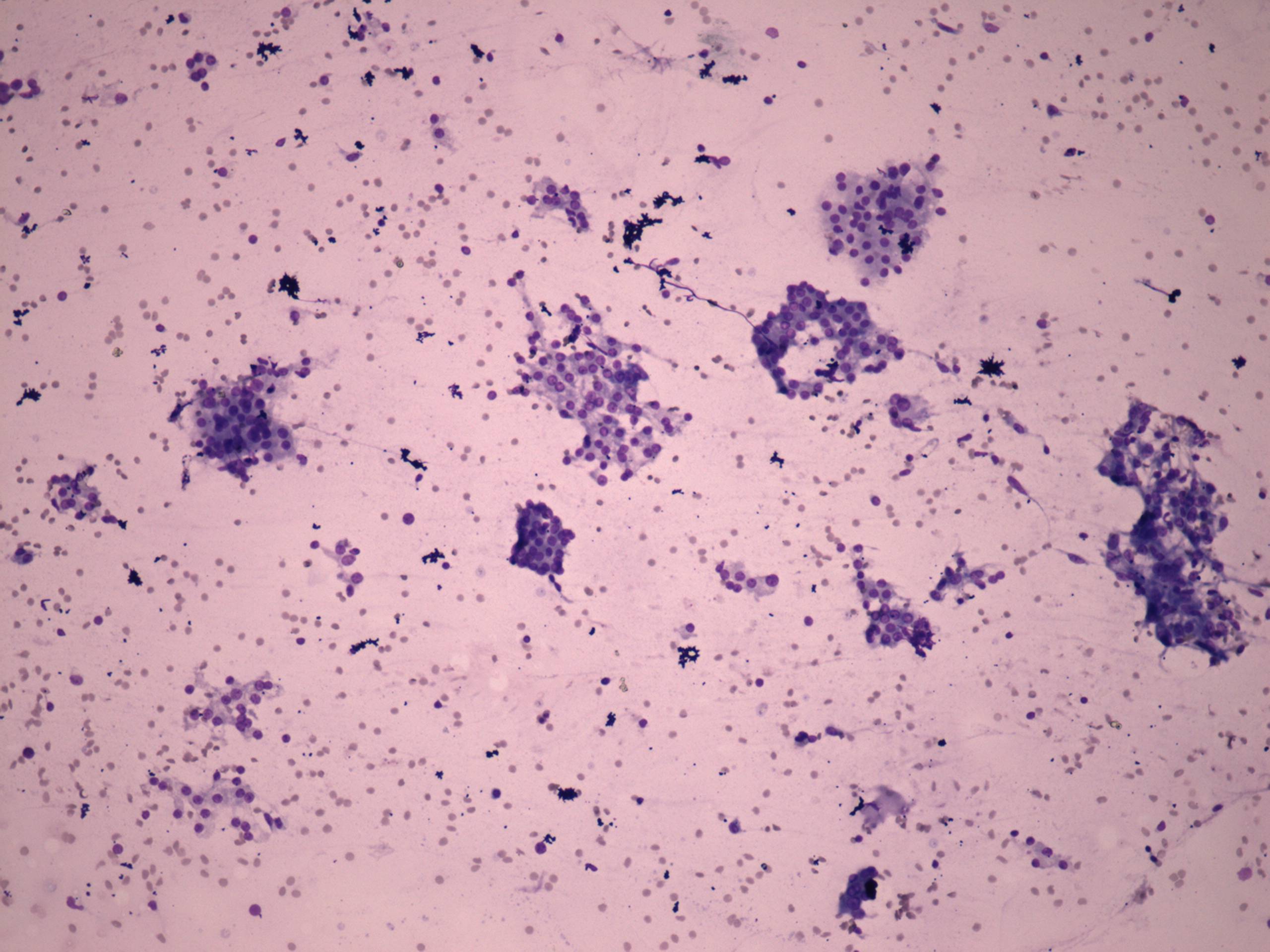
Right lobe, longitudinal scan

Wright-Giemsa staining, 100x.  There is no colloid in the background. Follicular cells occur mostly in compact clusters.

 

 

 

 

 

mask