Case cons100_010 (cytologic picture 2)
|
|
|
![]() |
|
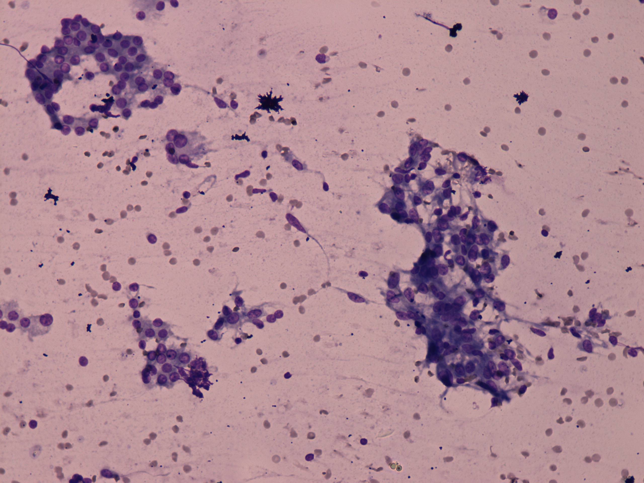
Wright-Giemsa staining, 200x. There is a monolayered sheet in the left upper part of the image. The cell group in the right is composed of follicular cells and lymphocytes.

