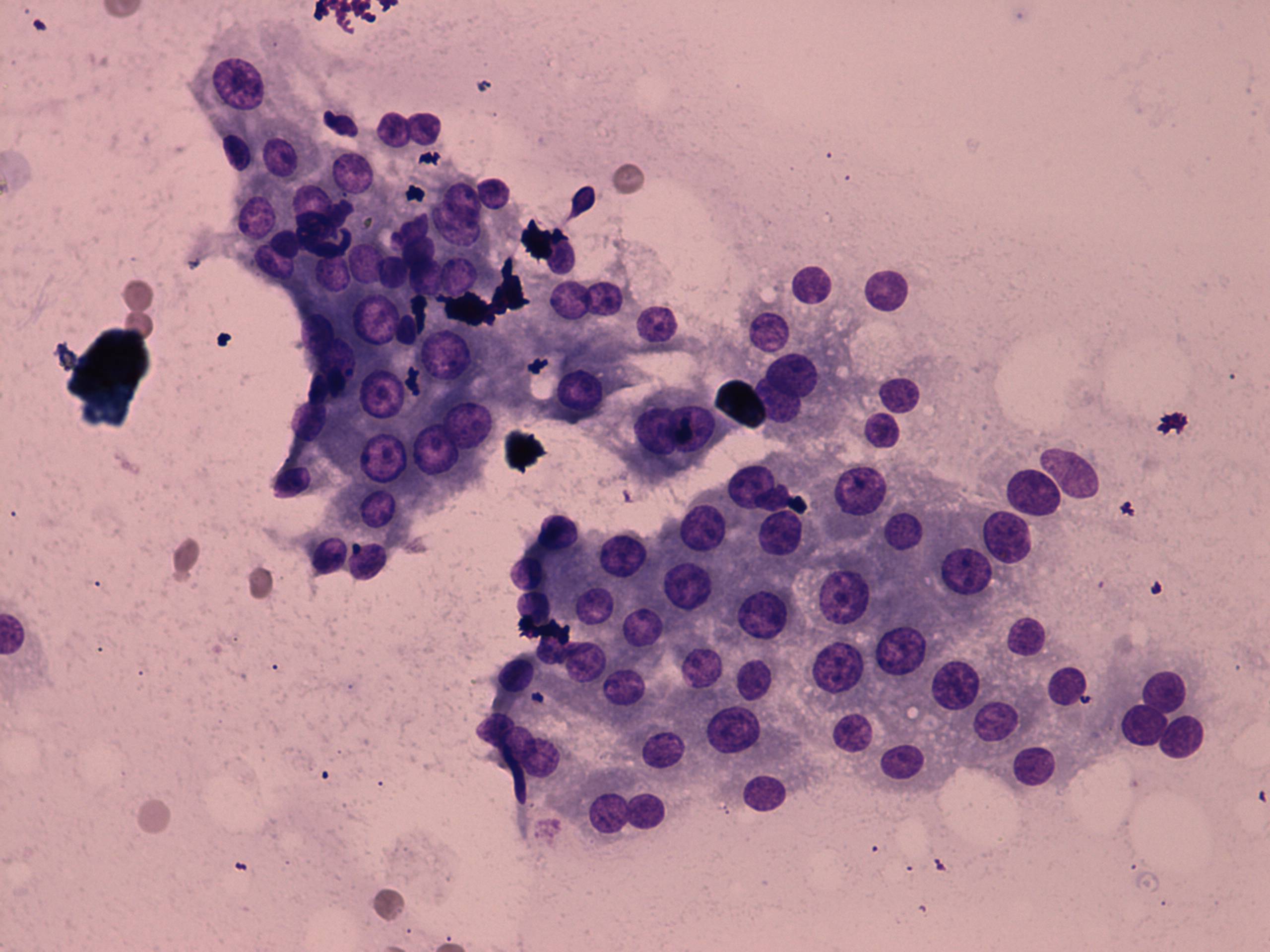
Case cons100_010 (cytologic picture 3)
|
|
|
![]() |
|
Wright-Giemsa staining, 400x. Follicular cells present a granular chromatin structure, cytoplasmic vacuolization and moderate degree of anisonucleosis.

