Thyroid cancers - case 1174 (ultrasonographic picture 7)


Previous picture Back to Case Next picture


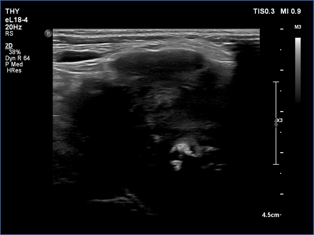
Right lobe, another longitudinal view - with more harmonization.

mask