Thyroid cancers - case 1174 (ultrasonographic picture 8)


Previous picture Back to Case Next picture


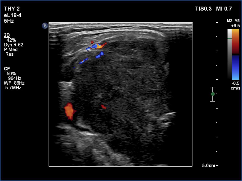
Right lobe, transverse view, color Doppler mode. The nodule is almost avascular.

mask