Thyroid cancers - case 1372 |
|
Clinical presentation: A 71-year-old woman was referred for evaluation of a hard painless mass which was discovered by the patient herself three months ago.
Palpation: a very hard nodule in the right lobe.
Functional state: euthyroidism (TSH-level 1.01 mIU/L).
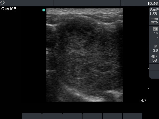
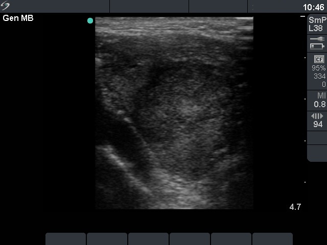
Ultrasonography. There was a large hypoechogenic nodule with irregular borders in the right thyroid. The vascularization was decreased.
Cytology: suspicion of a small cell malignant tumor. Immunocytochemistry was not successful.
Lung and neck CT scan was performed which did not revealed pathological findings outside the thyroid.
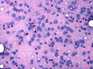
Biopsy was performed from the right thyroid and histopathology revealed large B cell lymphoma.
Comment. In our practice with malignant lymphomas of the thyroid, the immunocytochemistry was unsuccessful in around 50% of cases, while in another 25% of cases was not fully diagnostic.








