Thyroid cancers - case 1086 |
|
Clinical presentation: A 78-year-old woman was referred for evaluation of a newly discovered lump in the right side of the neck. The lesion developed within 3 to 4 months.
Palpation: a hard, almost fixed tumor in the right lobe.
Functional state: euthyroidism (TSH-level 4.09 mIU/L).
Ultrasonography. There was a large and several smaller, irregular, hypoechogenic lesions in the right lobe. The vascularization was decreased.
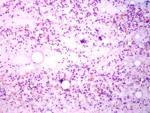
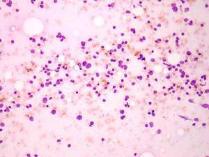
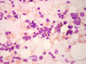
Cytology: suspicion of non Hodgkin' lymphoma.
Biopsy was performed from the right thyroid and histopathology revealed large B cell lymphoma.









