2022-23 Advanced Papillon Course
Thyroid cancers
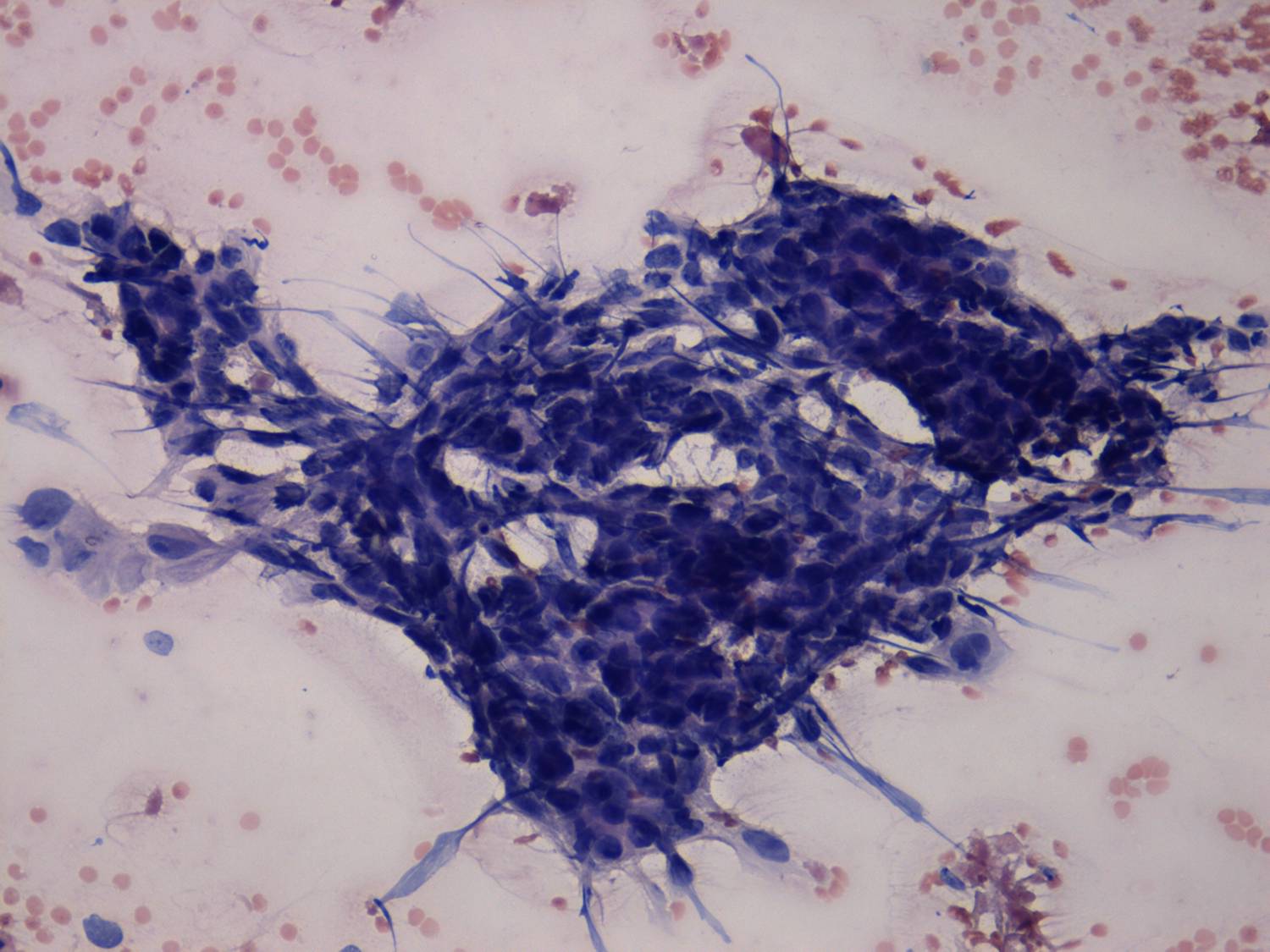
Pap-smear, 200x. This is an atypical cell cluster with nuclear crowding and overlapping.