2022-23 Advanced Papillon Course
Thyroid cancers
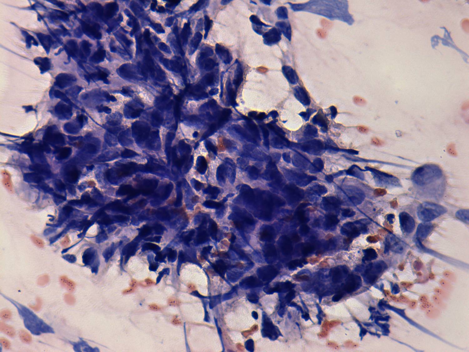
Pap-smear, 400x. This is a tumor cell group with complete loss of polarity of cells.