2022-23 Advanced Papillon Course
Thyroid cancers
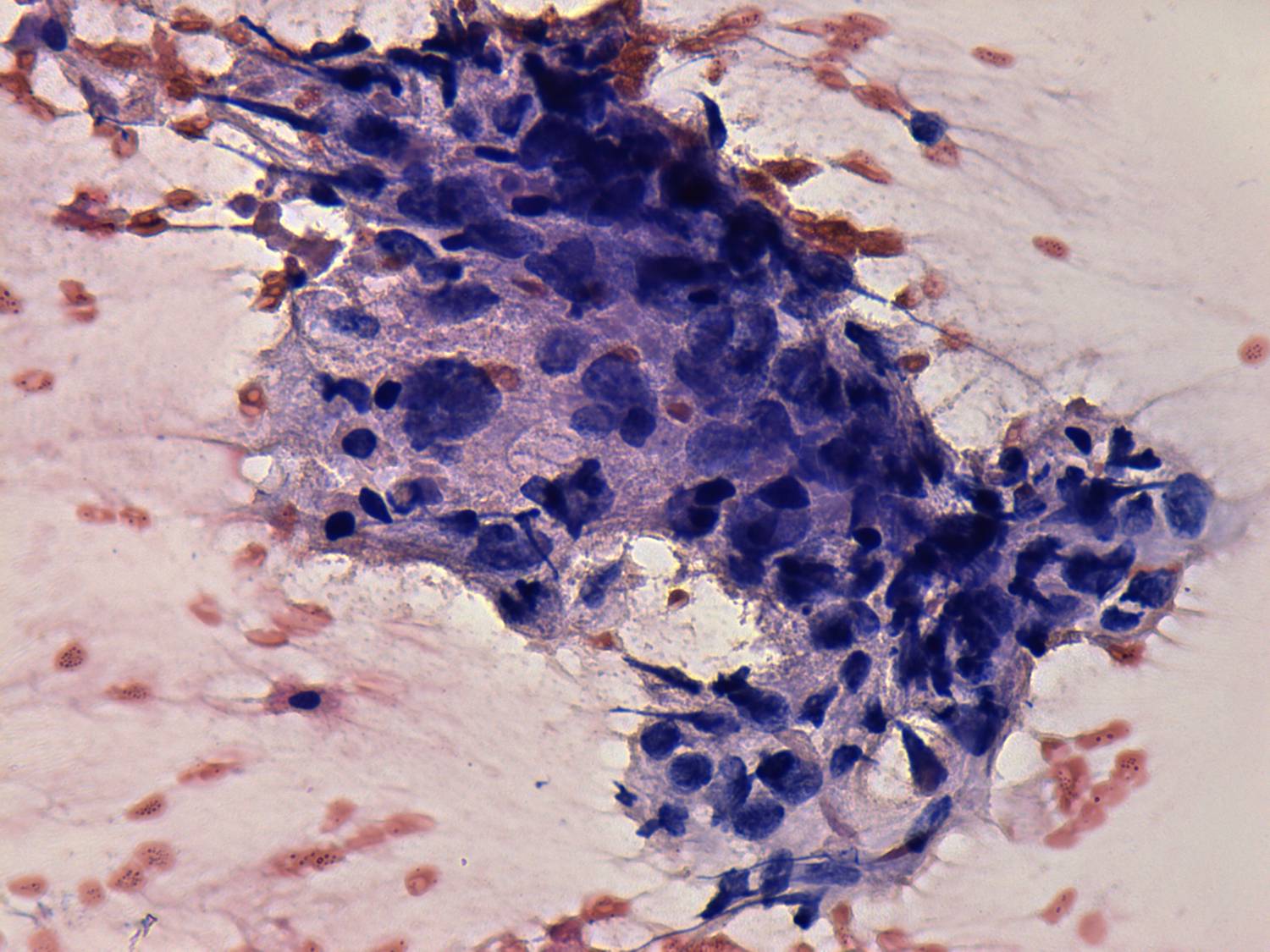
Pap-smear, 400x. Beside atypical, pleomorphic tumor cells, there are naked, small lymphocytes within the cluster.