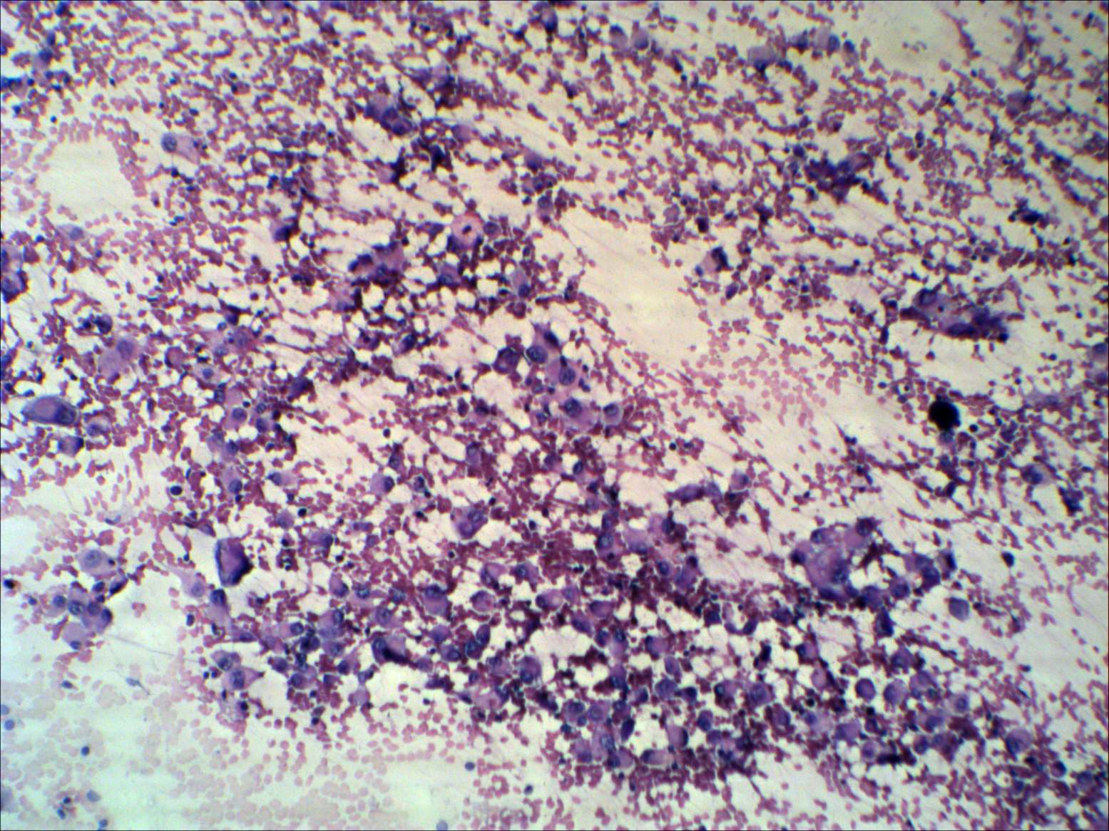
Thyroid cancers - case 908 (cytologic picture 1)
|
|
|
|
|
Pap-smear, 100x. There is no colloid in the background. Thyrocytes occur dispersed and in microfollicles.

