Thyroid cancers - case 908 (cytologic picture 2)


Previous picture Back to Case Maximize Next picture


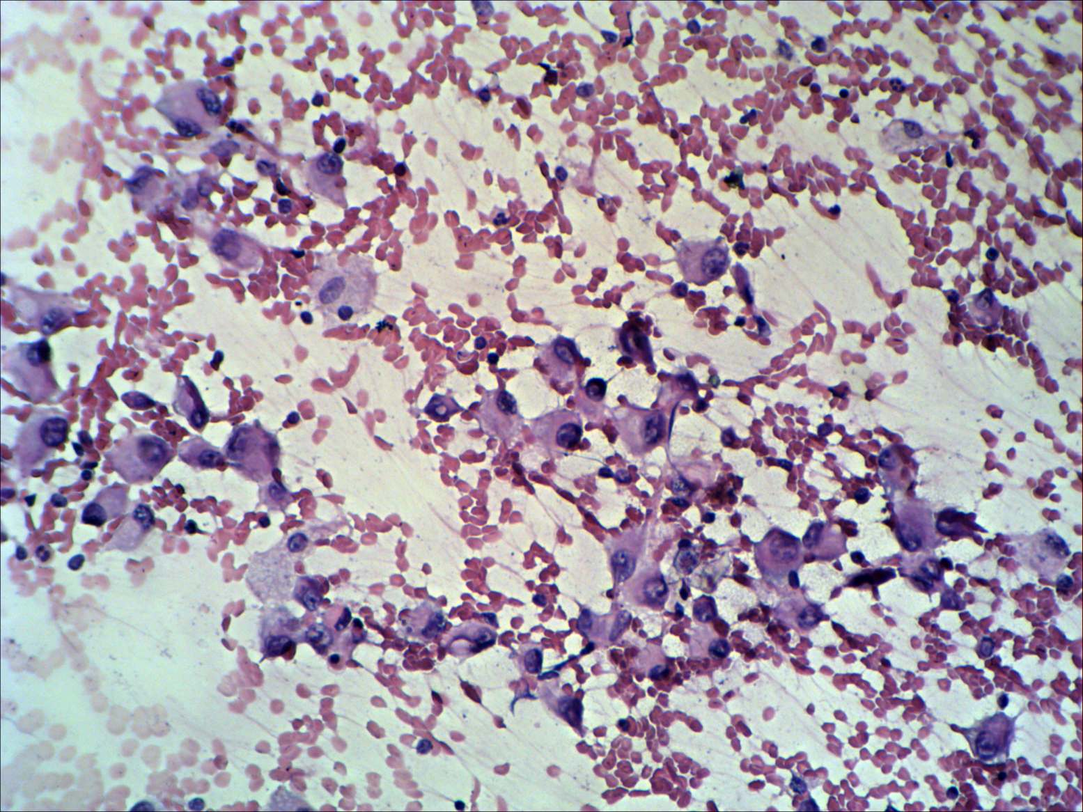
Pap-smear, 200x.   Oxyphilic cells occur dissociated.

mask