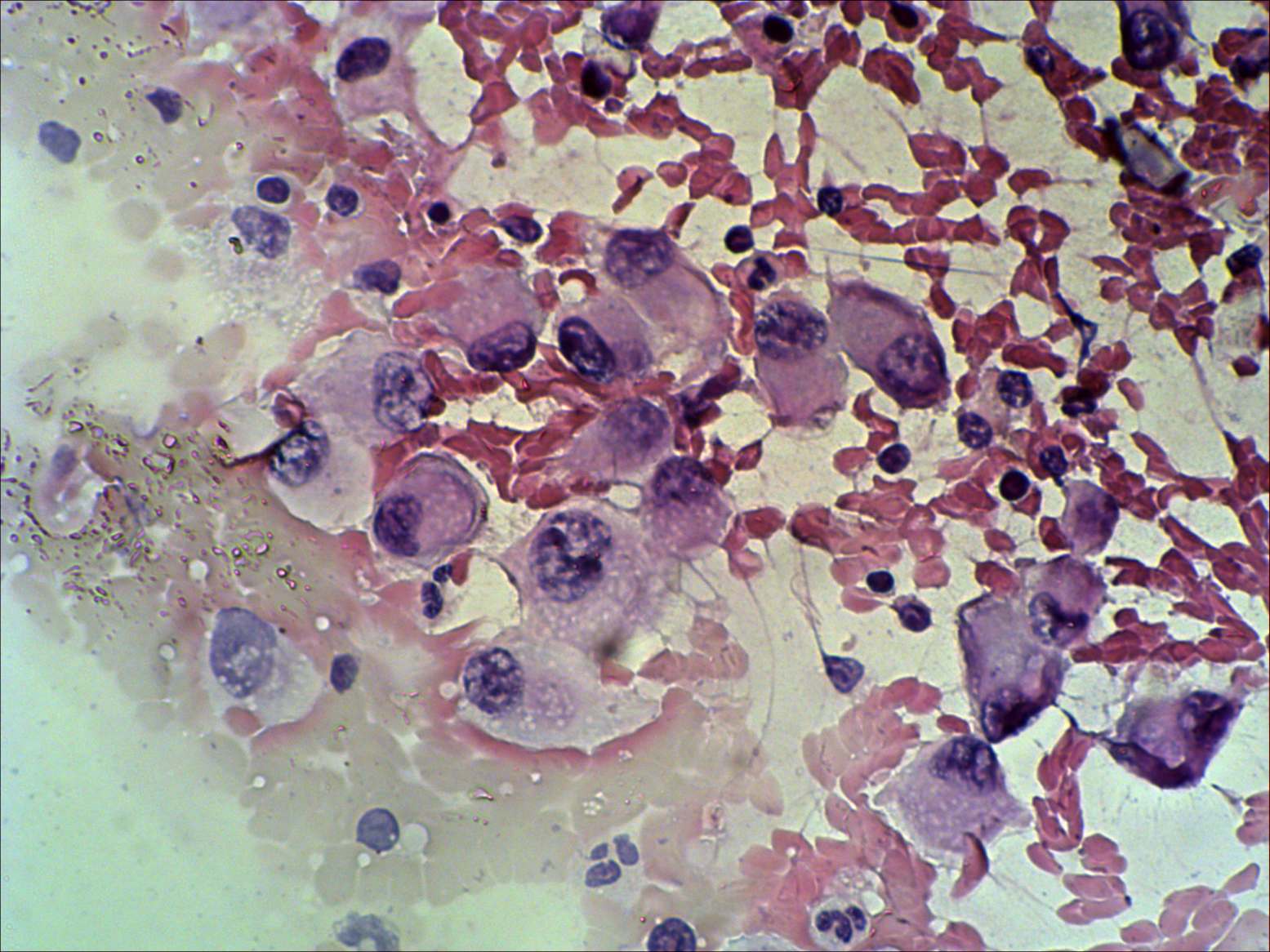
Thyroid cancers - case 908 (cytologic picture 4)
|
|
|
|
|
Pap-smear, 400x. The chromatin structure is very irregular. Otherwise, the atypia does not exceed that observed in a usual oxyphilic tumor.

