2022-23 Advanced Papillon Course
Thyroid cancers
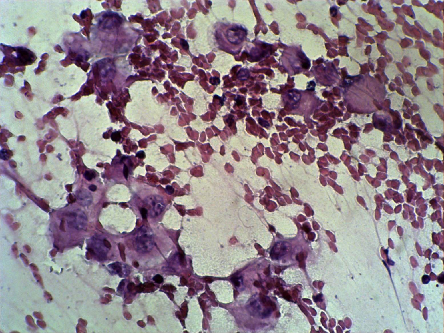
Pap-smear, 400x. Oxyphilic cells without extreme anisonucleosis.