Thyroid cancers - case 908 (cytologic picture 3 of another smear)
|
|
|
![]() |
|
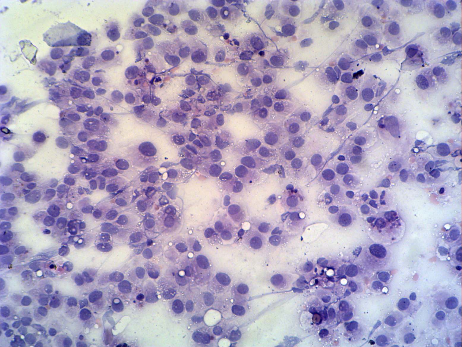
Pap-staining, 200x. A very cellular pattern. Oxyphilic cells exhibit moderate degree of anisonucleosis. Follicular cells show no pleomorphism.

