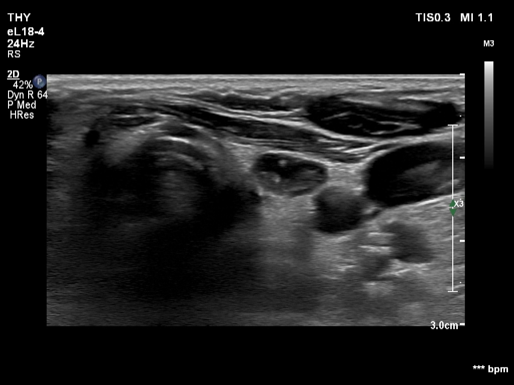
Introduction - case 162 (ultrasonographic picture 5)


Previous picture Back to Case Next picture

Right lobe, longitudinal scan

Left lobe, another transverse view - with better harmonization. The ventral half of the node seems to be deceptively cystic.

 

 

 

 

mask