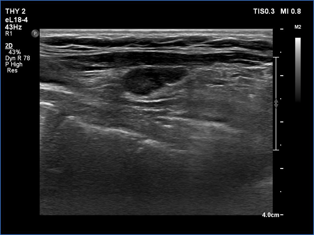
Introduction - case 162 (ultrasonographic picture 6)
|
|
|
|
Left lobe, longitudinal scan - with less harmonic settings. Regarding the presence of cystic content, this is the only relevant image. The less harmonic settings can reveal the real situation, i.e. the ventral part of the node is solid. Moreover, in contrast with transverse scan, the probe could be correctly placed to the neck of the patient.
