Introduction - case 189 (ultrasonographic picture 6)


Previous picture Back to Case Next picture

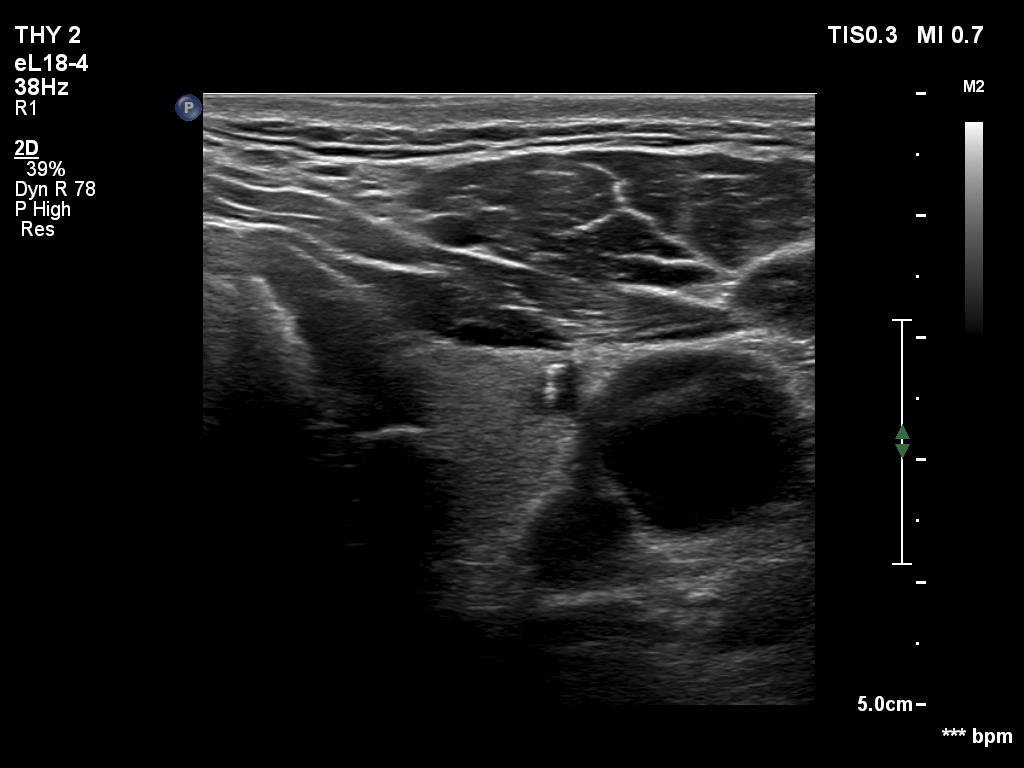
Right lobe, longitudinal scan

Upper part of the left lobe, transverse scan. This tiny cystic lesion has a large comet tail artifact.

 

 

 

 

 

 

 

mask