Introduction - case 189 (ultrasonographic picture 7)


Previous picture Back to Case Next picture

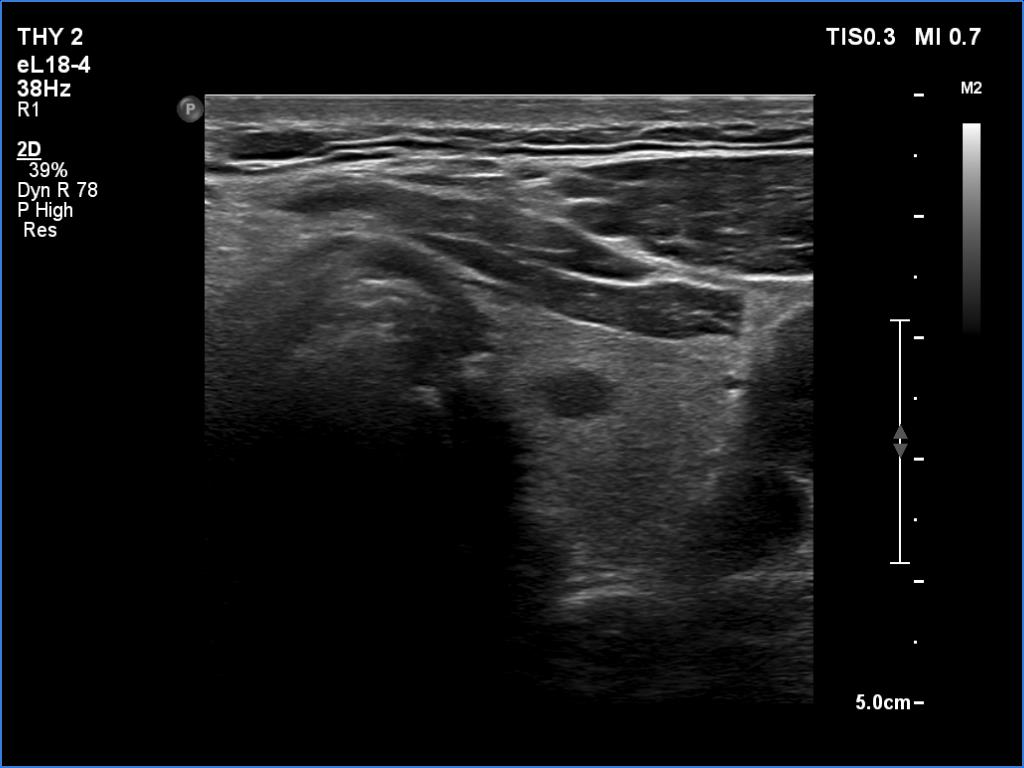
Right lobe, longitudinal scan

Middle third of the left lobe, transverse scan. Here's a hypoechoic discrete lesion.

 

 

 

 

 

 

 

mask