Introduction - case 745 (ultrasonographic picture 11)


Previous picture Back to Case Next picture

Right lobe, longitudinal scan

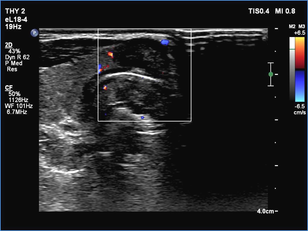
Isthmus, transverse scan, color Doppler mode. The vascularity is scanty.

 

 

 

 

 

 

 

mask