Introduction - case 745 (ultrasonographic picture 12)


Previous picture Back to Case Next picture

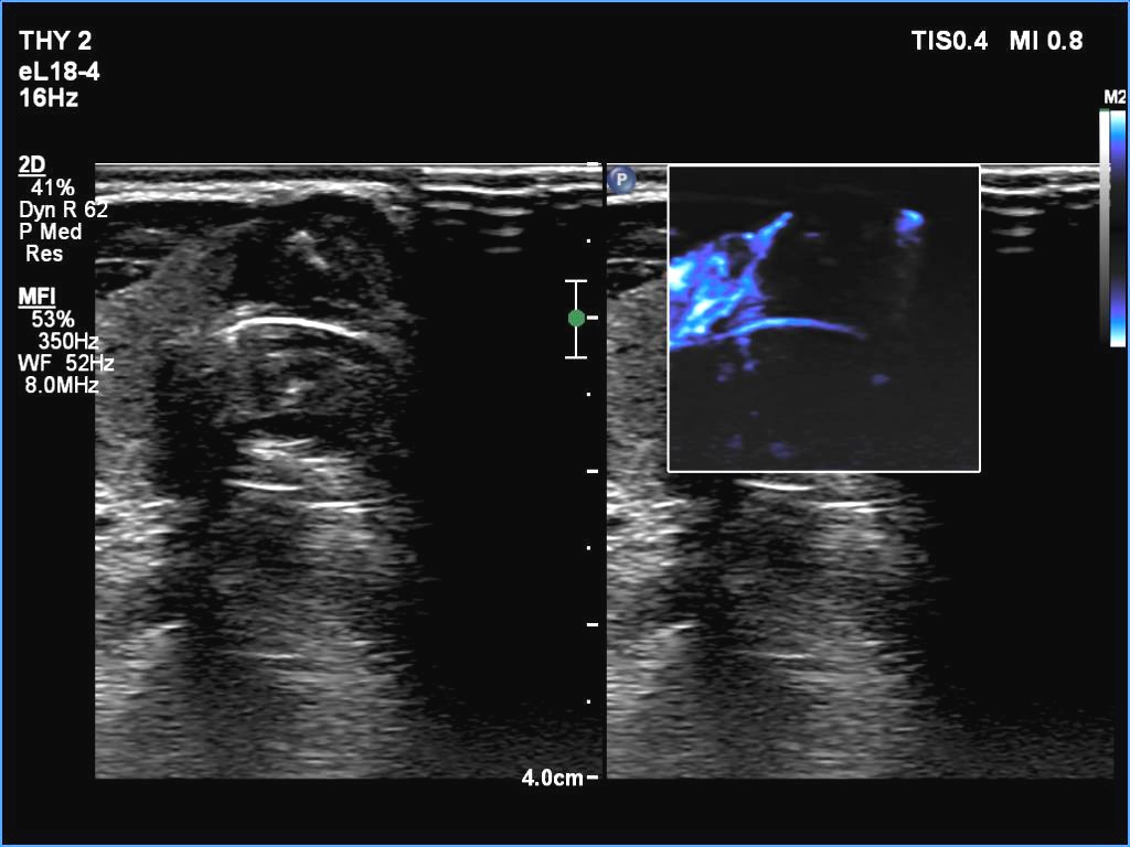
Right lobe, longitudinal scan

Isthmus, transverse scan, microflow imaging. The nodule has no vessels.

 

 

 

 

 

 

 

mask