Introduction - case 745 (ultrasonographic picture 13)


Previous picture Back to Case Next picture

Right lobe, longitudinal scan

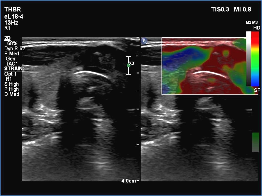
Isthmus, transverse scan, elastography. This is a non-secific, difficult-to-evaluate pattern.

 

 

 

 

 

 

 

mask